壹生大学

壹生身份认证协议书

本项目是由壹生提供的专业性学术分享,仅面向医疗卫生专业人士。我们将收集您是否是医疗卫生专业人士的信息,仅用于资格认证,不会用于其他用途。壹生作为平台及平台数据的运营者和负责方,负责平台和本专区及用户相关信息搜集和使用的合规和保护。
本协议书仅为了向您说明个人相关信息处理目的,向您单独征求的同意,您已签署的壹生平台《壹生用户服务协议》和《壹生隐私政策》,详见链接:
壹生用户服务协议:
https://apps.medtrib.cn/html/serviceAgreement.html
壹生隐私政策:
https://apps.medtrib.cn/html/p.html
如果您是医疗卫生专业人士,且点击了“同意”,表明您作为壹生的注册用户已授权壹生平台收集您是否是医疗卫生专业人士的信息,可以使用本项服务。
如果您不是医疗卫生专业人士或不同意本说明,请勿点击“同意”,因为本项服务仅面向医疗卫生人士,以及专业性、合规性要求等因素,您将无法使用本项服务。

同意

拒绝

同意

拒绝

知情同意书

同意

不同意并跳过

工作人员正在审核中,
请您耐心等待
审核未通过
重新提交
完善信息
{{ item.question }}
确定
收集问题
{{ item.question }}
确定
您已通过HCP身份认证和信息审核
(
5
s)

阿得贝利单抗获批广泛期小细胞肺癌一线适应症,CAPSTONE-1研究生存数据亮眼,改变小细胞肺癌免疫治疗格局

2023-03-14作者:贾茹资讯


小细胞肺癌(SCLC)约占全部肺癌病理类型的15%~20%,其侵袭性强,转移发生早,约70%的患者初诊时为广泛期小细胞肺癌(ES-SCLC)。然而,依托泊苷联合铂类作为一线标准化疗方案带来的生存获益十分有限,因此,临床中亟需全新治疗手段造福广大患者。


在此背景下,全国47家医院参与的随机、双盲、安慰剂对照、多中心期研究——CAPSTONE-1研究横空出世,为广大ES-SCLC患者带来显著生存获益,出色的成果刷新现有免疫药物一线治疗广泛期小细胞肺癌的总生存纪录,令国人无比振奋。


基于此,《中国医学论坛报》诚邀上海市肺科医院周彩存教授分享CAPSTONE-1研究结果及阿得贝利单抗一线治疗ES-SCLC的意义。以下整理访谈精粹,以飨读者。


访谈专家





周彩存 教授


博士、主任医师、教授、博士生导师

同济大学附属上海市肺科医院肿瘤科主任

同济大学医学院肿瘤研究所所长

享受国务院政府特殊津贴

国际肺癌研究联合会(IASLC)主席团成员

CSCO非小细胞肺癌专委会主委

中国医促会胸部肿瘤分会主委

上海市领军人才、重中之重学科带头人

上海市抗癌协会肺癌分子靶向与免疫治疗专委会主委

中国抗癌协会肺癌专业委员会常务委员

中国医师学会肿瘤分会常务委员

中国老年协会肿瘤专业委员会执行委员


周彩存教授专访


>>>

CAPSTONE-1 研究取得亮眼成果,

ES-SCLC患者生存获益显著




目前,ES-SCLC生存预后较差,其特征是快速生长和早期扩散,且ES-SCLC的治疗方案十分有限,以传统化疗为主的治疗手段效果不甚理想,患者总生存期只有8~10个月。近年来,免疫治疗在ES-SCLC领域显示出强大的抗肿瘤活性,为ES-SCLC患者带来全新选择与希望,随着进口PD-L1免疫检查点抑制剂的获批应用,ES-SCLC患者中位OS首次超过一年,抗PD-L1抑制剂联合化疗已被国内外权威指南推荐为ES-SCLC一线治疗方案。


阿得贝利单抗是国内自主研发的PD-L1抑制剂,探索阿得贝利单抗联合化疗一线治疗ES-SCLC的多中心Ⅲ期临床研究CAPSTONE-1研究取得令人满意的结果。谈及本项研究的出色数据,周彩存教授表示,阿得贝利单抗联合化疗的中位总生存(OS)达15.3个月(vs. 化疗12.8个月,HR 0.72 p=0.0017),2年OS率达31.3%(vs. 化疗17.3%),是对照组的近2倍,阿得贝利单抗让近1/3患者活过了2年。此外,该结果相较于既往的PD-L1抑制剂应用于ES-SCLC领域的临床研究,在数值上更具有优势(IMpower133研究中阿替利珠单抗组中位OS为12.3个月,CASPIAN研究中度伐利尤单抗组中位OS为12.9个月)。正是基于CAPSTONE-1研究的出色结果,周彩存教授指出,阿得贝利单抗联合化疗一线治疗广泛期小细胞肺癌适应症获批,成为中国ES-SCLC的标准一线治疗方案之一,这不仅为临床医生提供更多治疗选择,更是增加了广大患者的用药可及性,惠及更多中国患者,是一个好消息。




>>>

利久长安,

阿得贝利单抗助力SCLC免疫治疗安全可控




谈及临床医生治疗小细胞肺癌的着眼点时,周彩存教授认为,尽管肿瘤治疗已经进入了免疫时代,为患者带来了突破性的临床获益,但临床医生在追求更优疗效的同时也要关注治疗的安全性,严重的免疫相关不良反应(irAE)可能会对患者的生命带来威胁。临床中,若发生≥3级irAE,即便患者没有生命危险,也可能需要暂停给药并进行对症处理,这样一来则耽搁了肿瘤治疗的进程,为患者生存带来不利影响。相比PD-1抑制剂,PD-L1抑制剂更加安全,irAE的发生率较低(尤其是免疫相关性肺炎),正因如此,PD-L1抑制剂在SCLC领域的探索备受瞩目。


周彩存教授强调,从安全性方面看,CAPSTONE-1研究中,阿得贝利单抗联合化疗组的irAE发生率仅27.8%,主要是甲状腺功能异常、肝功能指标异常等,其中≥3级irAE发生率均不超过1.8%。该结果令我们看到了阿得贝利单抗出色的安全性,更低的irAE解决了医生的后顾之忧,也有助于提高患者的生存质量。




>>>

砥砺前行 前景广阔

阿得贝利单抗为中国SCLC患者提供更佳治疗方案




在SCLC免疫治疗领域,目前国际上仅有两项PD-L1抑制剂一线治疗广泛期小细胞肺癌Ⅲ期临床研究(IMpower133和CASPIAN研究)取得成功,但其OS获益并不理想,仍有很大的上升空间。此外,IMpower133与CASPIAN研究仅纳入较小比例中国患者,因此,我们亟须基于中国患者人群的研究数据以充分验证免疫治疗的疗效和安全性。


值得一提的是,CAPSTONE-1研究是首个针对中国ES-SCLC患者免疫一线治疗的Ⅲ期研究,也是目前已公布阳性结果的、样本量最大的中国小细胞肺癌免疫治疗研究,其疗效和安全性数据源自中国患者。周彩存教授寄语道,其在未来一定会被写入指南,成为ES-SCLC一线治疗的优选推荐方案。阿得贝利单抗的上市,将会成为国内首个自主研发获批ES-SCLC一线治疗适应症的PD-L1抑制剂,不仅极大地促进国内ES-SCLC免疫治疗的可及性,而且为更多我国ES-SCLC患者提供更优、更实惠的一线治疗选择。


近期,CameL研究公布了其4年随访数据,卡瑞利珠单抗联合化疗一线治疗晚期NSCLC患者的4年OS率为37.2%,4年PFS率为15.6%,令临床医生与患者看到了“临床治愈”的希望。周彩存教授指出,在未来,希望小细胞肺癌免疫治疗领域能够再接再厉、深入探索,实现像晚期NSCLC领域相类似的长生存的突破。




>>>

在机遇中寻求突破,

推进民族创新药物走向世界




近年来,随着医疗市场规模的不断扩大,以及一系列促进创新药物研发政策的颁布,国内新药研发速度突飞猛进,以恒瑞医药为代表的中国创新药企的发展迎来前所未有的机遇。周彩存教授肯定道,恒瑞医药作为国内肿瘤领域的领跑者,在近几年取得了十分闪耀的成绩,其自主研发的免疫检查点抑制剂卡瑞利珠单抗、阿得贝利单抗,在多个瘤种中实现了历史性的突破。在小细胞肺癌领域,阿得贝利单抗联合化疗方案取得的成就为ES-SCLC患者的治疗提供了良好的治疗方案,为广大中国肿瘤患者带来了福音,同时也打破了抗肿瘤新药被国外垄断的壁垒,令我国自主创新药物迈向了新纪元。


与此同时,我们应看到民族制药企业在药物研发方面仍与国外有差距,药物研发缺乏真正的自主原创靶点,临床研究设计缺乏创新性,国际多中心临床研究开展得对较少。对此,周彩存教授叮嘱道尽管恒瑞医药取得的成绩业内有目共睹,但不能满足于现有成绩,要在机遇中寻求新的突破,在将来做免疫治疗药物研发领域的“领头羊”,开发出更多First-in-Class、Best-in-Class药物,从而进一步提升肿瘤治疗的疗效。正如周彩存教授所说,目前,针对免疫治疗还有很多问题值得深入探索,如原发性、获得性耐药的内在机制仍不清晰,免疫治疗的新靶点开发还十分有限等。基于这些美好的愿景,希望民族制药企业未来要继续携手中国临床医生,开展更多中国原创的临床研究,才能够推进民族原研药物走向世界,造福更多的肿瘤患者。




病例整理专家


史金鹏 教授


病例分享一





基本情况


患者岳某某,男, 66岁,农民,2019年08月26日首次入院。

主诉:反复咯血1月余。(色鲜红,2-3口/天,量约5-10ml)

吸烟史:有长期吸烟史(具体不详)。

无慢性病及传染病史。

首次入院前半月因“阑尾炎”行手术治疗,术前体检发现左上肺斑片影(外院),予口服头孢治疗效果欠佳。

体格检查:左侧锁骨触及淋巴结1枚,约1cm;右侧颈部及锁骨上淋巴结可触及多个结节,最大者约2cm。





辅助检查


【基线检查】:

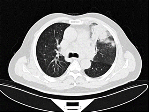
2019.08.23门诊胸部CT平扫:

1.左肺上叶斑片结节灶伴纵隔肺门淋巴结多发增大,恶性可能,建议进一步检查。

2.左肺下叶小结节,建议随访。

3.左侧胸腔少量积液。

4.心包积液。 



头颅MR、全身骨扫描未见明显异常


【病理检查】:

病理诊断:转移性低分化癌,酶标结果符合小细胞癌。

免疫组化结果:P40(-),TTF-1(SPT24)(+),SYN(+/-),CGA(-),CD56(灶+),KI67(90%+),CK(+),PD-L1(22C3)(1%+,1-49%),PD-L1(E1L3N)(1%+,1-49%)。


彩超引导下行左锁骨上淋巴结穿刺组织学活检术





诊断


左肺上叶小细胞肺癌 cT3N3M1(左颈部淋巴结)-Ⅳ期





一线治疗


【具体方案】:

阿得贝利单抗 (20mg/kg, d1) + 卡铂 (AUC=5, d1) + 依托泊苷 (100mg/m2, d1-3)





治疗经过


2019.09.12起阿得贝利单抗+EC治疗6周期

2019.10.22门诊胸部CT检查,疗效评估为PR

2020.02.06起阿得贝利单抗单药维持29周期

2021.12.06完成35次给药出组,随访

期间第10、29、30、32周期因血小板降低而延迟给药

截至2023.3 患者仍存活,总生存期超过42个月






疗效评估






不良反应


双下肢水肿,I级

药物性甲状腺功能减退症,II度



脱发:2019.10.uk~出组 (I度)

咳痰:2019.12.uk~2021.3.uk (I度)

气喘:2020.01.13~2020.02.06 (SAE)

血小板降低:2020.04.uk~2021.11.uk

双下肢水肿:2020.04.10~2020.09.uk (I度)

体重增加:2020.06.29~出组 (I度)

咳痰:2021.12.01~出组 (II度)

腰痛:2020.12.04~2021.01.uk

右耳耳鸣:2021.07.uk~2021.08.uk (I度)


病例分享二





基本情况


患者宫某某,男, 65岁,2020年01月13日首次入院

主诉:发现右腹股沟淋巴结肿大5月。(无压痛,逐渐增大,伴咳嗽咳痰)

吸烟史:800年支

无慢性病及传染病史

曾于2019.11.21在安徽理工大学第一附属医院行右腹股沟区肿块穿刺活检术

体格检查:左颈可触及浅表淋巴结肿大





病理诊断


2019.11.21 安徽理工大学第一附属医院 右腹股沟区肿块穿刺活检(1912526):

淋巴结转移性小细胞癌。

酶标:TTF1(3+) 、SYN(+/-) 、CD56(3+) 、P40(-) 、CK5/6(-)。


2019.12.03 复旦大学附属肿瘤医院,病理会诊(T2019-35445):

差分化神经内分泌癌。

酶标:CD56+、CgA(个+)、SYN-、NapsinA-、TTF1+、Ki67(70%+)。





辅助检查



2020.01.02门诊胸部增强CT:

1.左肺门占位,纵隔内多发淋巴结肿大,恶性可能大,建议进一步检查。

2.左肺动脉充盈缺损,建议结合临床病史。

3.左肺下叶间隔增厚,癌性淋巴管炎可能,随访。



2019.12.06 复旦大学附属肿瘤医院 PET-CT:

左肺中央型癌(50×36mm,SUVmax=2.3),累及肺门及左主肺动脉。

左上颈、颏下、纵隔及同侧肺门多发淋巴结转移。

2020.01.02 上海市肺科医院 头颅MRI:

颅内少许缺血灶。 

2020.01.02 上海市肺科医院 腹部+盆腔增强CT:

腹腔、盆腔CT扫描未见明显异常。

2020.01.08 上海市肺科医院 颈部增强CT:

颏下、颈部多发淋巴结增大。 





诊断


左肺门小细胞癌cT4N3M1c(左上颈、颏下、右腹股沟淋巴结)-IVb期 





一线治疗


【具体方案】:

阿得贝利单抗 (20mg/kg, d1) + 卡铂 (AUC=5, d1) + 依托泊苷 (100mg/m2, d1-3)





治疗经过


2020.01.13起阿得贝利单抗+EC治疗6周期

2020.01.19 T 38.5℃

2020.01.25 NEU 0.81×109/L

第二周期EC调整剂量为75%

2020.03.30 NEU 0.38×109/L

2020.04.08门诊胸部CT检查,疗效评估为PR

第三至第六周期EC调整剂量为56%(75%×75%)

2020.06.30起阿得贝利单抗单药维持6周期

2020.11.02门诊胸部CT检查,疗效评估为PD

2022.09 患者死亡,总生存期长达32个月






疗效评估






不良反应


白细胞/中性粒细胞降低:多次

便秘:2020.01.15~2020.01.20 (I度)

肺部感染:2020.01~2020.02

发热:2020.03.31~2020.04.06 (I度)

胃胀气:2020.04.12~2020.04.14 (I度)

夜间盗汗:2020.04.22~2020.4.23 (I度)

胃痛:2020.05.26~2020.05.28 (II度)

头痛:2020.05.28~2020.06.07 (II度)

胃胀气:2020.06.14~2020.06.19 (I度)

上呼吸道感染:2020.07.04~2020.07.06 (Ⅱ级)

全身乏力:2020.08.12~2020.08.18 (I级) irAE

体重增加:2020.09.01~PD (I级)




200 评论

查看更多