查看更多
密码过期或已经不安全,请修改密码
修改密码
壹生身份认证协议书
同意
拒绝
同意
拒绝
同意
不同意并跳过
患者男性,肥胖,在工作场所突然倒地,意识昏迷。前期诊断颇费周折,在ECMO支持下进行了一系列检查,此病例虽然最终抢救成功,但也给临床带来一些启示:哪些检查方法可以快速诊断肺栓塞?此外,临床医生也需要进一步提高对肺栓塞的重视程度。
病例介绍
一般情况
患者,男性,网吧管理员,肥胖,已婚。主诉间断意识障碍6 h。
现病史
患者6 h前在与同事交谈时感胸背部疼痛,随即突然倒地、呼之不应,同事立即拨打120,运输途中患者意识间断恢复,送达我院急诊时突然出现呼吸心搏骤停,立即予以胸外按压、气管插管等积极复苏4 min后患者恢复自主心率。
既往史及其他
患者出生时有“心导管未闭”病史,未予以治疗,青年时期复查未见异常,无高血压、糖尿病、血脂紊乱、冠心病病史。无吸烟、饮酒史,无毒物接触史。无食物、药物过敏史。
入院查体
T 36.8℃,P 114次/min,R 32次/min,BP 80/45 mmHg。SpO2 90%。颅神经:双侧瞳孔等大等圆,直径4.0 mm,无眼震,双额纹、鼻唇沟等称,其余检查不能配合。颈软,右侧肢体肌张力低,肌力0级。皮肤黏膜无黄染,浅表淋巴结肿大,颈静脉无怒张,双肺呼吸音低,心界不大,心率114 次/min,律齐,各瓣膜未闻及明显杂音;腹软,肝脾肋下未及,双下肢无水肿。
诊断和治疗
意识障碍伴呼吸心搏骤停原因待查
(1)心源性:急性冠脉综合征?恶性心律失常?急性心肌炎?瓣膜疾病?
(2)失血性休克:主动脉夹层破裂?腹腔脏器(肝、脾、肾等)破裂出血?
(3)肺源性:急性肺栓塞?
(4)中枢性:脑出血?脑梗死并发脑疝?
检查结果
患者头部CT显示正常,无出血或梗死征象。胸部CT示双下肺少许实变影(图1),但此种情况并不能解释患者呼吸心搏骤停的发病状态。腹部CT显示肝脏稍大,其他腹腔脏器正常,未见腹腔积液积血(图2)。

图1 患者入院后胸部CT

图2 患者入院后腹部CT
心肌肌钙蛋白I(TnI )160 pg/ml(↑)。心电图:窦性心动过速;右束支阻滞伴左前分支阻滞;下壁梗死(分期不定)。血红蛋白(Hb) 122 g/L,D二聚体)D-D 6300 ng/ml(↑)。
更正诊断 心源性:急性心肌梗死伴恶性心律失常? |
ECMO治疗
患者经心肺复苏后,血流动力学仍不平稳;给予升压药后,血压仍偏低。与家属沟通后,给予ECMO治疗,为进一步诊断争取时间。
急性心肌梗死合并难治性心源性休克患者属于ECMO适应证:①收缩压<90 mmHg,心脏指数<2.0 L/(m2·min);②同时伴随终末器官低灌注的表现,例如四肢湿冷、意识状态不稳、补液复苏后收缩压仍<90 mmHg,血清乳酸>2.0 mmol/L且进行性加重,尿量<30 ml/h;③依赖2种以上的血管活性药物或血管升压素,主动脉内球囊反搏支持不足以维持稳定的血流动力学。 此类患者仅用药物治疗常难以恢复,应考虑行VA-ECMO治疗。 |
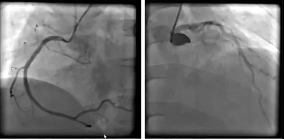
ECMO支持下冠脉造影显示右冠和左冠光滑,未见明显狭窄段(图3)。ECMO支持下主动脉造影可见胸主动脉、腹主动脉、双侧肾动脉、肠系膜上动脉均未见夹层或出血表现(图4)。

图3 ECMO支持下冠脉造影

图4 ECMO支持下主动脉造影
更正诊断 意识障碍伴心搏骤停原因待查:急性肺栓塞?爆发性心肌炎? |
进一步检查
N端前脑钠肽(NT-ProBNP) 1690 pg/ml(↑),TnI 1705.5 pg/ml(↑),D-D 10031 ng/ml(↑)。床旁心脏彩超:右心室明显增大,左心室呈D字征,三尖瓣重度反流。双下肢深静脉彩超未见血栓。
ECMO支持下CT肺动脉造影(CTPA)显示右上肺动脉、右中肺动脉和右下肺动脉均有充盈缺损;左肺动脉主干栓塞,左下肺动脉有明显充盈缺损(图5)。

图5 ECMO支持下CTPA
更正诊断 急性肺血栓栓塞症(高危)并呼吸心搏骤停。 |
未完待续
本文首发于重症肺言 武汉大学中南医院呼吸与危重症医学科韦超洁
查看更多