壹生大学

壹生身份认证协议书

本项目是由壹生提供的专业性学术分享,仅面向医疗卫生专业人士。我们将收集您是否是医疗卫生专业人士的信息,仅用于资格认证,不会用于其他用途。壹生作为平台及平台数据的运营者和负责方,负责平台和本专区及用户相关信息搜集和使用的合规和保护。
本协议书仅为了向您说明个人相关信息处理目的,向您单独征求的同意,您已签署的壹生平台《壹生用户服务协议》和《壹生隐私政策》,详见链接:
壹生用户服务协议:
https://apps.medtrib.cn/html/serviceAgreement.html
壹生隐私政策:
https://apps.medtrib.cn/html/p.html
如果您是医疗卫生专业人士,且点击了“同意”,表明您作为壹生的注册用户已授权壹生平台收集您是否是医疗卫生专业人士的信息,可以使用本项服务。
如果您不是医疗卫生专业人士或不同意本说明,请勿点击“同意”,因为本项服务仅面向医疗卫生人士,以及专业性、合规性要求等因素,您将无法使用本项服务。

同意

拒绝

同意

拒绝

知情同意书

同意

不同意并跳过

工作人员正在审核中,
请您耐心等待
审核未通过
重新提交
完善信息
{{ item.question }}
确定
收集问题
{{ item.question }}
确定
您已通过HCP身份认证和信息审核
(
5
s)

消化系统盲区的“破壁者”——ERCP胆道子镜技术攻克多例胆道疑难复杂疾病

2025-11-08作者:论坛报马山资讯
非原创

在医院里,有些疾病就像隐藏在暗处的“影子杀手”,难以捕捉,更难以确诊。尤其是胆道系统疾病,传统检查手段常常“雾里看花”,让医生和患者都倍感煎熬。然而,随着ERCP胆道子镜的新技术在中国医科大学附属第一医院内窥镜中心的应用,这些“看不见的敌人”终于无处遁形。


八旬老人发热黄疸,黏液背后藏真凶



一位年近八旬的老奶奶,因持续发热、全身发黄,辗转多家医院未能确诊。即使进行了经内镜逆行性胰胆管造影(ERCP)检查,导致黄疸的元凶依然未能确认。转入我院后,消化内科李异玲主任、关琳副主任与内窥镜中心矫太伟副教授团队接手了这一棘手病例。

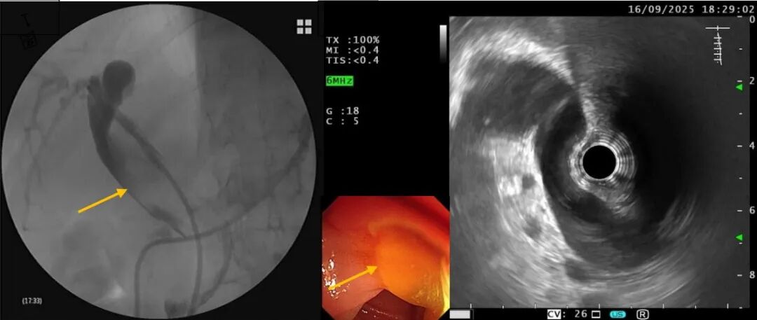
超声内镜显示:肝内外胆管扩张,胆管里充满了黏液。初步判断可能是“胆管内乳头状黏液性肿瘤(IPMN-B)”,但肿瘤究竟藏在哪?


640?wx_fmt=jpeg&from=appmsg

鼻胆管造影见胆管内大量充盈缺损影(箭头所示),超声内镜见肝内外胆管增宽;乳头开口大量黏液(箭头所示)

为了明确诊断,ERCP治疗团队使用了胆道子镜直视进入胆管内进行观察,视野却被大量黏液阻挡。治疗团队没有放弃,他们先用球囊清理胆道为子镜“开路”。再次进入时,终于在左肝内胆管发现了匍匐生长的乳头状病变。子镜直视下,医生精准取样送往病理科。病理结果揭晓:胆管腺瘤,导致黄疸的“真凶”终于被揪出!


640?wx_fmt=jpeg&from=appmsg

术中胆道子镜见左肝内胆管多发乳头状增生,子镜直视下精准活检(3处箭头所示)


八旬大娘胆管结石隐藏深,子镜直视锁定结石


同期,另一位八十多岁的大娘因间断腹痛入院。完善影像检查后提示“胆总管结石可能性大”,为了进一步治疗,内镜科团队为其进行ERCP(逆行性胰胆管造影)。

可奇怪的是,ERCP术中注入造影剂后却未见结石踪影,一台看似普通的ERCP取石手术却陡然变得扑朔迷离!结石究竟隐藏在何处?


640?wx_fmt=jpeg&from=appmsg

ERCP造影未见结石,箭头所示为胆道(左图),ERCP术中胆道球囊阻塞造影亦未见结石,箭头所示为球囊(右图)


时间在一分一秒地过去,是结石已经自己排掉?还是结石躲藏在更深处常规ERCP无法发现?考虑病人高龄,身体条件差,一旦漏掉结石再次发病后果不堪设想,团队马上启用备用方案,应用胆道子镜探寻结石!胆道子镜进入胆管内,首先于胆囊管搜寻,未见结石。然后进入肝内胆管一级分支亦未发现结石,紧接着子镜进入狭小的二级胆管逐一排查,终于发现,结石已偷偷地从胆总管“逃”到了肝内胆管!紧接着一个难题是如何把结石取出,传统的ERCP手术对位于肝内胆管的结石几乎束手无策,普通ERCP手术器械在如此狭小的空间无法施展。经过讨论,团队改变治疗策略,决定用子镜下微细网篮尝试取石,通过在狭小的空间内仔细观察、谨慎处理、反复调整,历时半个多小时的精细操作,终于将结石拖入胆总管,随后成功取出了结石!


640?wx_fmt=png&from=appmsg

子镜下所见结石位于肝内胆管,箭头所示结石(左图),子镜下尝试肝内胆管取石(中图),成功取出胆管结石,箭头所示取出结石(右图)


什么是胆道子镜?它如何打破“最后盲区”?


传统ERCP只能靠X线影像间接推断胆管内的状况。而胆道子镜是一根直径仅2~3毫米的超细内镜,能通过十二指肠镜的通道直接进入胆管,实现直视下观察,甚至精准活检。

胆道子镜的应用突破了传统ERCP的局限性,不仅适用于胆管,也能进入胰管,实现对胆胰系统的“无盲区探查”,让临床医生对胆胰管病变的诊断和治疗更加准确、有效。


640?wx_fmt=png&from=appmsg

消化内科、内窥镜中心ERCP治疗组长矫太伟副教授术中操作


胆道子镜:能看、能取、能治的“多面手”


胆道子镜可用来诊治如下疾病:

1.胆管结石:直视观察胆道内的结石,明确结石的位置、大小、数量,针对困难胆管结石,如巨大胆管结石、嵌顿结石、Mirizzi综合征等可行胆道子镜直视下激光碎石、取石,以尽量一次性取净结石、减少结石残留及复发风险;

2.胆道占位性病变:胆道子镜直视下观察肿瘤形态、范围,并进行直视下精确活检以明确诊断;对于无法手术的胆道肿瘤,可以进行射频消融、光动力治疗等,进行减瘤治疗;

3.胆道炎性病变:如原发性硬化性胆管炎,可利用胆道子镜评估管壁的炎症程度,并使用球囊或探条扩张狭窄部位,改善胆道引流。10.png

胆道子镜见肝门部胆管狭窄,结节状隆起,表面见粗大扭曲新生血管,子镜直视下精准活检提示“腺癌”


未来已来:从“间接推测”到“直视精准”


胆道子镜的出现,标志着胆道疾病诊疗进入“精准直视时代”。它打破了消化系统的“最后一个盲区”,让原本隐藏在深处的病变,清晰呈现在医生眼前,将胆胰管的可视变成可能。胆道子镜在胆道疾病及部分胰腺疾病的诊治中有巨大的优势,尤其在复杂病例中能提供更精准的解决方案,未来将继续为更多复杂胆道疾病患者带来精准治疗的希望。

作为国内领先的消化系统疾病内镜诊疗中心,中国医科大学附属第一医院内窥镜中心在主任李异玲教授的带领下,始终秉承开拓创新精神,不断引进和开展国际前沿医疗技术。

未来,中心将继续在“消化病全病程管理”“内科外科化”理念的指引下,推动消化与内镜的紧密融合,医疗与护理的紧密结合,为更多消化病患者提供更加优质、安全、可靠的医疗服务。


END


来源:中国医科大学附属第一医院


200 评论

查看更多