查看更多
密码过期或已经不安全,请修改密码
修改密码
壹生身份认证协议书
同意
拒绝
同意
拒绝
同意
不同意并跳过
基本资料
性别:女性
年龄:51岁
主诉:反复便秘并间中带血1年;
现病史:
患者于2019-07-10就诊祈福医院,电子肠镜示距肛门约4-5cm见一肿物,大小约4.0cm*4.4cm,表面糜烂,活检病理示直肠中分化腺癌,未行进一步诊治;2019-07-22就诊我科并住院治疗。
既往史/家族史/个人史:无特殊
辅助检查
入院查体:
PS 0分,BSA 1.45㎡,心肺腹无异常体征;
直肠指检:入指5cm可触及环周肿物,右侧肠壁部分外凸,有压痛,固定,指尖仍可触及肿物,退指少量血染。
实验室检查:
验血结果:CEA 2.26ng/ml;大便潜血(+);
影像学检查:
2019-07-10祈福医院电子肠镜示距肛门约4-5cm见一肿物,大小约4.0cm*4.4cm,表面糜烂,活检病理示直肠高-中分化腺癌。
全身骨扫描示未见骨转移;









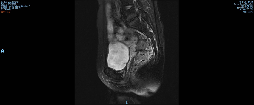
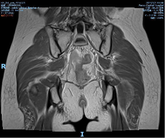
盆腔MR示:直肠全段管壁不均匀增厚,以中段较明显,最厚处约15mm,部分肠腔内见软组织肿块影突起,上下累及范围约70mm,距肛门距离约50mm,结肠浆膜面稍毛糙,局部与前筋膜分界不清,周围脂肪间隙部分略欠清;符合直肠癌改变,考虑累及浆膜面,不除外直肠前筋膜受累;
胸腹CT示:直肠管壁增厚,周围脂肪间隙模糊,考虑直肠癌可能性大,左肾小结石,结节性甲状腺肿。

影像学检查资料:















































诊断及下一步治疗讨论:
临床诊断:
直肠中分化腺癌,cT4bN0M0,IIC期;
治疗模式:
手术治疗+/-术后辅助治疗;
新辅助化疗 手术+/-术后辅助治疗;
新辅助放疗 手术+/-术后辅助化疗;
新辅助同期放化疗+/-手术+/-术后辅助治疗;
根治性放化疗;
其他(免疫、靶向等)。
具体方案:
化疗方案?
放疗方案?
指南及相关临床研究

ESMO指南:位置、T3亚分期、N分期、MRF(直肠系膜筋膜)、肛提肌、ENTD、EMVI(壁外脉管浸润)


新辅助放疗未改善生存,但可以降低局部复发率

指南及相关临床研究

加法1(2014):万德森教授主持的中低位直肠癌术前放化疗5010研究
研究目的:术前放化疗+根治性手术+辅助化疗 VS 根治性手术+辅助化疗
术前放化疗方案:RT:3D-CRT,46Gy/23f/5w;CHT:mXelox (草酸铂130mg/m2+希罗达1.0g/m2)


Xelox+放疗治疗模式初步结论:
pCR高:35.6%;
降期明显:T降期75.6%、N降期75.4%;
毒副反应低、耐受好。


加法2(2015):同期放化疗后巩固化疗+延迟手术—提高pCR率及DFS

加法3(2017):诱导化疗+同期放化疗(TNT模式)--增加pCR及cCR率

加法4:强化同期化疗方案--增加奥沙利铂未改善生存

加法5(2018):强化同期化疗--增加伊立替康显著提高pCR率
复旦肿瘤医院CinClare研究:多中心、前瞻性III期,主要研究终点:pCR

A组与B组接受手术比例分别为86.5%和88.2%,A组与B组的pCR率为17.5%和30.8%(P= 0.001);
A组与B组总CR率(包括pCR和cCR)分别为17.4%和33.1%(P= 0.001);
A组与B组术后并发症的总体发生率两组没有显著差异(11.0% vs 14.6%)。
减法(2019):去放疗(FOWARC研究)
我院实际治疗情况:
临床诊断:
直肠中分化腺癌,cT4bN0M0,IIC期;
患者意愿:
生活质量要求高,少住院,对生活影响少,要求保肛。
治疗方案:
2019-07-30至2019-09-04行新辅助同期放化疗:50Gy/25Fx,同期XELOX方案化疗2程(奥沙利铂 180mg,D1+卡培他滨1.5/1.0g,bid,D1-D14)。
不良反应:
轻度放射性直肠炎,II度中性粒细胞下降。
疗效评估:
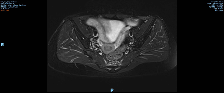
2019-09-09复查盆腔MR示直肠全段管壁不均匀增厚,以中段较明显,最厚处约12mm,较前改善,仍考虑累及浆膜面,不除外直肠前筋膜受累。
放化疗后影像学:




















































疗效评价:
新辅助同期放化疗后复查降期不明显:
直肠中分化腺癌,ycT4bN0M0,IIC期;
治疗方案:
2019-09-11行第3程“XELOX(奥沙利铂 180mg,D1+卡培他滨1.5/1.0g,bid,D1-D14)”化疗;
不良反应:
I度消化道不良反应,II度骨髓毒性。
术前评估:
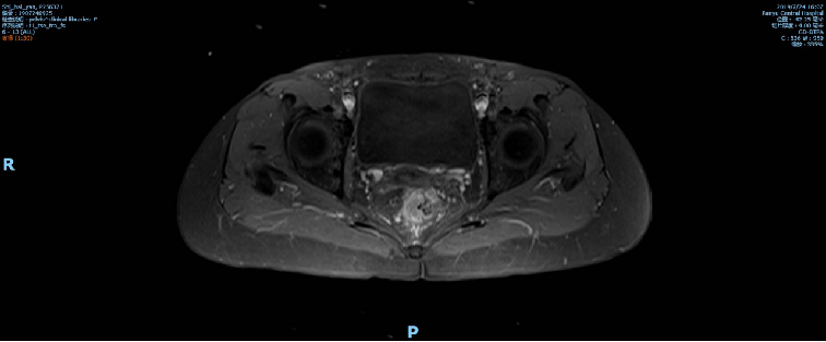
2019-10-09复查盆腔MR示直肠全段管壁不均匀增厚,以中段较明显,最厚处约11mm,较前相仿,仍考虑直肠癌累及浆膜面,较前略有好转,不除外直肠前筋膜受累;胸腹CT未见转移征象。
术前影像学检查:































后续治疗:
2019-10-10腹腔镜下经腹会阴联合直肠癌根治术(TaTME)+回肠造口术+肠周淋巴结清扫术+盆腔粘连松解术。
术中所见:
腹腔无积液,腹膜无结节,肝胆脾、胃、十二指肠、小肠、全结肠未及肿物,直肠下段齿状线上方5cm处肿瘤约4×3cm大小,质硬,占肠管1/3,无突破肠壁,肠腔无狭窄,肠周间隙稍水肿伴粘连,肠周淋巴结无明显肿大。
术后病理:
(直肠)中分化腺癌,伴治疗后改变,距一侧手术切缘1.5cm处可见一1.5*1.0*0.8cm溃疡型肿物,肿瘤浸润肠壁浆膜层,可见神经束侵犯,未见脉管癌栓,R0切缘,肠系膜可见癌结节4枚,淋巴结0/17。

术后基因检测:


术后治疗讨论:
基因检测:
K-ras13突变,MSS,TMB 4.3mut/Mb(略高于参考值);
术后分期:
ypT3N1cM0 IIIB期;
术后治疗方案选择:
术后辅助化疗方案选择?
化疗疗程/时长?
病史小结:
2019-07-22诊断为直肠中分化腺癌,cT4bN0M0,IIC期;
2019-07-30至09-04行新辅助同期放化疗( 50Gy/25Fx,XELOX*2程);
2019-09-11行第3程“XELOX”新辅助化疗,复查降期不明显;
2019-10-10腹腔镜下经腹会阴联合直肠癌根治术(TaTME)+回肠造口术,
术后分期 ypT3N1cM0 IIIB期,MSS,K-RAS 13突变;
术后治疗方案及时长:根据各位专家教授讨论意见决定。
查看更多