查看更多
密码过期或已经不安全,请修改密码
修改密码
壹生身份认证协议书
同意
拒绝
同意
拒绝
同意
不同意并跳过
基本资料
性别:男
年龄:60岁
主诉:因“右上腹疼痛10天”
既往史:有“慢性乙型病毒性肝炎”病史30余年,未正规治疗
辅助检查
查体:皮肤巩膜无黄染,腹平软,无压痛、反跳痛
实验室检查:
血常规:WBC 6.03×10^9/L; HGB 162 g/L; PLT 224×10^9/L
血生化:TBIL 37.9 umol/L; DBIL 13.1 umol/L; ALB 42 g/L
凝血功能:PT 12.6s
AFP:>1000 IU/mL
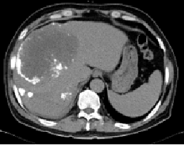
影像学检查:
腹部CT平扫+增强(2014-04-24):肝右叶巨块型肝Ca伴肝内多发转移可能(肿瘤直径15.5cm)




入院诊断:
原发性肝癌 (BCLC B期)
慢性乙型病毒性肝炎
Child-Pugh: A级 ECOG评分: 0分
治疗过程:
第一次TACE:
2014-04-28:DSA




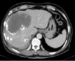
影像学检查:
2014-06-04CT:



第二次TACE:
2014-06-25:DSA




2014-7-8开始口服索拉非尼 400mg bid
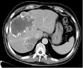
影像学检查:
2014-08-25CT:



第三次TACE:
2014-08-29:DSA



影像学检查:
2014-09-26CT:



CT未见明确肿瘤组织强化,拟采用MRI随访
2014-10-24MR:



增强MRI提示病灶边缘少许强化,考虑仍有活性
第四次TACE:
2014-11-27:DSA




影像学检查:
2017-02-08MR:



发病后34月
索拉非尼持续服用31月
第13次TACE术后
CR
2019-03-06MR:



持续CR近三年
病例总结:
TACE快速降低局部肿瘤负荷,但会引起VEGF升高,促进新生血管形成, 导致肿瘤转移复发,多吉美能够抑制新生血管生成,进而抑制肿瘤细胞增殖,机制上两者完美配合
最新的TACTICS研究表明,TACE联合多吉美治疗可显著延长患者PFS(25.2月 vs 13.5月),可能成为中期HCC患者的标准治疗方案
多项国内相关研究结果表明,TACE联合多吉美生存获益显著,OS延长50%以上
本例病例展示,TACE联合索拉非尼给病人带来近3年CR疗效,并且安全可靠。
TACE联合多吉美:A Good Marriage
查看更多