壹生大学

壹生身份认证协议书

本项目是由壹生提供的专业性学术分享,仅面向医疗卫生专业人士。我们将收集您是否是医疗卫生专业人士的信息,仅用于资格认证,不会用于其他用途。壹生作为平台及平台数据的运营者和负责方,负责平台和本专区及用户相关信息搜集和使用的合规和保护。
本协议书仅为了向您说明个人相关信息处理目的,向您单独征求的同意,您已签署的壹生平台《壹生用户服务协议》和《壹生隐私政策》,详见链接:
壹生用户服务协议:
https://apps.medtrib.cn/html/serviceAgreement.html
壹生隐私政策:
https://apps.medtrib.cn/html/p.html
如果您是医疗卫生专业人士,且点击了“同意”,表明您作为壹生的注册用户已授权壹生平台收集您是否是医疗卫生专业人士的信息,可以使用本项服务。
如果您不是医疗卫生专业人士或不同意本说明,请勿点击“同意”,因为本项服务仅面向医疗卫生人士,以及专业性、合规性要求等因素,您将无法使用本项服务。

同意

拒绝

同意

拒绝

知情同意书

同意

不同意并跳过

工作人员正在审核中,
请您耐心等待
审核未通过
重新提交
完善信息
{{ item.question }}
确定
收集问题
{{ item.question }}
确定
您已通过HCP身份认证和信息审核
(
5
s)

超高危ACS小干扰RNA降脂启示:提高依从性,助力患者血脂长期、平稳达标

2024-11-18作者:Kangn资讯

血脂水平是评估急性冠脉综合征(ACS)心血管事件发生风险的重要指标,而低密度脂蛋白胆固醇(LDL-C)是干预血脂的首要靶点[1]。此外,患者良好的依从性对降低ACS心血管事件复发和死亡风险也尤为重要,但我国ACS患者依从性普遍不理想,仅有68%的患者出院12个月后仍能继续接受标准治疗,依从性在出院6个月后下降最快[2]。因此,如何制定个体化降脂策略,提高患者依从值得业内医生进一步探索。


本期我们有幸邀请到上海交通大学医学院附属第九人民医院范例教授,为我们分享1例超高危ACS患者的降脂历程。该患者先后两次因冠心病入院治疗,依从性较差,患者第一次出院半年后自行停用降脂药物,血脂长期不达标。因此患者第二次入院后,医生调整其降脂策略,为患者提供了更强效、便捷的PCSK9小干扰药物英克司兰,助力患者血脂达标。此外,我们还有幸邀请了上海交通大学医学院附属第九人民医院许左隽教授对本期病例进行深入剖析与点评,让我们跟随本期分享一起挖掘小干扰RNA在超高危患者长期血脂管理中的应用潜力。


专家简介
image.png

范例 教授

上海交通大学医学院附属第九人民医院

  • 上海交通大学医学院附属第九人民医院心内科,副主任医师

  • 从事三甲医院心血管临床一线工作二十余年

  • 医院胸痛中心主要召集人,救治急危重心肌梗死患者数百例

  • 2016年获得卫健委冠心病介入诊疗资质

  • 2017年于美国普林斯顿Baptist医学中心进修

  • 曾获第九人民医院“十佳医生”,“优秀共产党员”等称号

  • 第一及通讯作者发表SCI 5篇,中文核心期刊论文20余篇,专著编译2部,发表省市级科普作品2项

  • 参与国家自然科学基金2项,主持市级课题1项


病例一分享


演示文稿1_01(2).jpg

范例教授病例分享视频


基本情况

一般资料:患者男性,55岁。


主诉:胸闷、心悸1月加重两天。


既往史:既往有高血压病史6年,血压最高达160/90 mmHg,目前口服硝苯地平控释片30 mg qd控制血压,近期血压控制可。否认糖尿病史,既往肾结石行输尿管镜下结石取出术。


实验室检查:血常规、凝血功能、肾功能正常;心功能:c-TNI 0.12 ng/mL、CKMB 12 U/L;肝功能:ALT 14 U/L;血脂:ApoA1 1.19 g/L、TC 4.66 mmol/L、LDL-C 3.75 mmol/L、HDL-C 1.06 mmol/L、TG 1.08 mmol/L。


体格检查:HR 92次/分,BP 154/78 mmHg。


心电图:窦性心律,房性早搏。


初步诊断:1、急性冠脉综合征,2、高胆固醇血症,3、原发性高血压Ⅱ级(极高危组)。

诊疗经过

2022-03首次入院:


(1) 心脏超声:1、左室顺应性降低;2、二尖瓣、三尖瓣轻度反流;3、检测中心率不齐。


image.png


(2) 外周血管超声:1、双侧颈动脉斑块形成;2、头臂干分叉区斑块形成;3、双侧椎动脉未见明显异常。


image.png


(3) 血脂:ApoA1 1.19 g/L、TC 4.66 mmol/L、LDL-C 3.75 mmol/L、HDL-C 1.06 mmol/L、TG 1.08 mmol/L。


(4) 24小时心电图/血压监测:心电图无特殊异常;昼夜平均收缩增高,夜间平均舒张压增高。


(5) 冠脉造影:右侧冠状动脉中段次全闭塞,植入3.5*18 mm支架。


image.png


(6) 药物治疗方案:硫酸氢氯吡格雷片75 mg qd po;阿司匹林100 mg qd po;琥珀酸美托洛尔缓释片47.5 mg qd po;沙库巴曲缬沙坦200 mg qd po;阿托伐他汀20 mg qn po;依折麦布10 mg qd po;依洛尤单抗140 mg BIW。


2023-12再次入院:


(1) 基本情况:患者1周前无明显诱因下,出现活动后胸闷、胸痛,持续约15-30 min,休息后可自行缓解,发作频繁。为进一步诊治,门诊拟“胸痛待查”收治入院。


(2) 随访:患者2022年3月首次因急性下壁心肌梗死入院,急诊冠脉造影提示右冠中段次全闭塞,介入治疗成功。出院予阿托伐他汀+依折麦布+依洛尤单抗控制LDL-C,随访半年LDL-C维持在1.8 mmol/L左右,后自行停用PCSK9单抗和依折麦布。


(3) 实验室检查:cTnI 0.09 ng/mL,CKMB 15 U/L,LDL-C 2.99 mmol/L。


(4) 心脏超声:1、左室顺应性减低;2、主动脉瓣、二尖瓣、三尖瓣轻度反流。


(5) 心电图:1、窦性心律;2、ST段改变(V3,V4,V5,V6导联ST段呈近似水平型压低>0.5 mm);3、V2,V3,V4,V5 T波低平倒置。


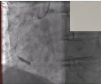
(6) 冠脉造影:左侧冠脉病变严重,行PCI术植入支架。


image.png


(7) 药物治疗方案:硫酸氢氯吡格雷片75 mg qd po;阿司匹林100 mg qd po;琥珀酸美托洛尔缓释片47.5 mg qd po;沙库巴曲缬沙坦200 mg qd po;阿托伐他汀20 mg qn po;英克司兰284 mg iH


随访

患者自发病以来LDL-C水平的变化:2024-10患者LDL-C水平仅有0.69 mmol/L,较基线降幅>76%。


image.png

专家简介


image.png

  许左隽 教授

上海交通大学医学院附属第九人民医院

  • 上海交通大学医学院附属第九人民医院心内科,副主任医师

  • 上海交通大学医学院附属第九人民医院临床医学院内科教研室副主任

  • 毕业于原上海第二医科大学医学系(现上海交通大学医学院)

  • 上海医学会心血管分会预防学组成员

  • 中国医促会心血管预防与治疗分会委员

  • 上海市中医药学会介入心脏病学分会委员

  • 曾赴澳大利亚墨尔本Epworth医学中心研修心血管介入技术

  • 长期以来一直从事心血管内科疾病的临床诊治和教学工作,作为主要参与者完成多项临床研究项目

  • 在心血管内科疑难、危重病症方面积累了丰富的临床治疗经验

  • 对急危重症冠心病、高血压、高血脂、心力衰竭、心律失常等有丰富的抢救和治疗经验

  • 擅长心脏疾病的介入治疗,在冠脉造影、支架植入、血管内超声、钙化病变的旋磨术等方面具备丰富的手术经验


病例点评


根据《2023中国血脂指南》推荐[3],对于极高危和超高危人群,LDL-C绝对值达标的同时降幅也需超过50%。这对我们医生和患者都提出了更高的要求,首先,在治疗过程中需要及时对患者血脂变化进行监测,并调整治疗方案。特别是治疗1~3月后,患者仍未达到目标值,需要及时调整药物剂量、种类或联合不同作用机制的降脂药物。其次,患者良好的依从性是实现血脂有效管理的保障。我们在为患者制定降脂方案时,应结合患者依从情况,尽可能选择便捷、高效的降脂药物。最后,血脂管理需要长期坚持,未来的趋势是血脂达标更持久,即“Lower for Longer”。因此,在患者血脂达标后仍建议每年至少复查一次血脂。


本例患者于2022年因胸痛收治我院,冠脉造影提示右冠病变行PCI介入治疗。患者出院后予阿托伐他汀+依折麦布+依洛尤单抗方案降脂,但半年随访血脂未达标,且患者依从性不佳,自行停用依折麦布和依洛尤单抗。2023年12月患者因胸痛再发一周入院治疗,冠脉造影提示左前降支中段病变,再次行PCI术改善病变血管。结合患者既往病史,此次冠脉病变进展快速可能与高危风险因素(血脂异常)未严格控制有密切关系。因此,需要对患者术后血脂进行严格管理,尤其是术后3个月易损期,综合考虑患者依从性情况,本次降脂方案除阿托伐他汀外,还联合使用PCSK9小干扰RNA类药物英克司兰。


英克司兰是一种新型降低LDL-C的药物,属于小干扰RNA类。它主要用于治疗成人原发性高胆固醇血症(包括杂合子型家族性高胆固醇血症)或混合型血脂异常,特别是那些对最大耐受剂量他汀类药物反应不足的患者,可以与其他降脂药物(如他汀类药物、依折麦布)联合使用[4-6]。英克司兰推荐的给药方案为单次皮下注射284 mg,首次给药后,在3个月后再次给药,随后每半年给药1次。其长效可持续的特性极大地提高了患者依从性,95%的患者接受英克司兰第二针,84%的患者接受第三针[7]。关键研究中与英克司兰治疗相关的唯一不良反应为注射部位不良事件(8.2%),最常发生的为注射部位反应、注射部位疼痛、注射部位红斑和注射部位皮疹,均为轻度或中度,呈一过性[8-9]


自患者此次出院以来,依从性得到了显著的提升。患者定期复查,血脂改善显著,3次LDL-C水平均达标,胸痛、胸闷症状也未再发。总的来说,英克司兰为本例患者提供了更加便捷的降脂选择,改善血脂的同时极大地提高患者依从性。目前,英克司兰已经获得国家药品监督管理局(NMPA)的批准上市。相信未来英克司兰将会帮助更多高危患者实现血脂的长期管理,在提高患者依从性的同时助力血脂平稳达标。


参考文献:


1. Chen S, Huang S, Shau W Y, et al. BMC Cardiovascular Disorders, 2019, 19(1): 1-13.

2. 《急性冠状动脉综合征患者院外长期随访管理共识》专家组等. "急性冠状动脉综合征患者院外长期随访管理共识." 中国介入心脏病学杂志 31.8(2023):561-569.

3. 中国血脂管理指南修订联合专家委员会.中国血脂管理指南(2023年)[J].中华心血管病杂志,2023,51(3): 221-255.

4. Raal FJ, et al. N Engl J Med. 2020; 382(16): 1520-1530.

5. Wright RS, et al. J Am Coll Cardiol. 2021; 77(9): 1182-1193.

6. GWICC_poster GW34-e0796.

7. Nihar Desai. The Adherence and LDL-C Lowering Effect of Inclisiran Among Patients Who Received Treatment at Outpatient Clinics. AHA 2023.

8. R Scott Wright.ORION-8:Long-term efficacy and safety of twice-yearly inclisiran in high cardiovascular risk patients.Presented at Late-Breaking Science Session“Late-breaking science on pharmacology”.28 August,ESC Congress 2023.

9. Leavio. Core data sheet. Novartis Pharma AG; 2022.


审批码LEQ0033908-78683,有效期为2024-11-15至2025-11-14,资料过期,视同作废

200 评论

查看更多