查看更多
密码过期或已经不安全,请修改密码
修改密码
壹生身份认证协议书
同意
拒绝
同意
拒绝
同意
不同意并跳过
基本资料
性别:男
年龄:62岁
主诉:主因“腹痛、腹胀1月余”于2014-08入院。
现病史:无
既往史/家族史:无特殊
辅助检查
查体:KPS 90分,心肺腹(-)
实验室检查:
肿标(2014.9):CEA 102.27ng/mL,CA199 167.95U/ml
K-ras、b-raf基因检测:野生型
影像学检查:
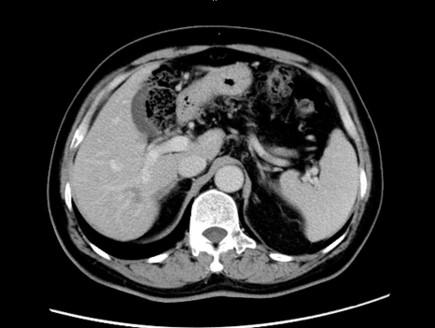
腹盆腔增强CT:肝脏多发低密度灶,转移瘤可能性大;乙状结肠占位。




肠镜提示:肠镜检查提示乙状结肠内占位,活检病理提示腺癌浸润。
结肠手术病理 (2014-9-29)

(乙状结肠)结肠溃疡型中分化腺癌,癌瘤侵透肌层达浆膜下,侵犯神经及血管壁;肠慢性溃疡合并穿孔,切缘(-)。肠系膜淋巴结6/18枚内见癌转移,另见癌结节8枚,直径0.3-1cm。
初步治疗方案:
1.化疗 √
2.放疗
3.介入
4.免疫治疗
ESMO指南明确提出一线治疗决策制定的驱动因素:
患者左侧原发肠癌,KRAS/BRAF均野生,根据目前的研究证据,两个靶向药物西妥昔单抗和贝伐珠单抗均可带来疗效上的获益。结合ESMO指南的理念,根据患者的肿瘤特征和其经济情况,为其推荐了贝伐珠单抗联合化疗。
治疗经过:
2014.10-2015.2:XELOX+BEV方案 6cs;
2cs后评效PR,4cs、6cs后评效为维持PR;
骨髓抑制I度,手足麻木I度。
肿标(2014.11): CEA 2.25ng/mL, CA199 4.95U/ml,此后肿标均正常。
腹部增强CT:
2014-9-19(化疗前):

2014-11-18(2cs化疗后):

2015-1-6(4cs化疗后):

2015-2-28 (6cs化疗后):

2014-9-19(化疗前):

2014-11-18(2cs化疗后):

2015-1-6(4cs化疗后):

2015-2-28 (6cs化疗后):

2014-9-19(化疗前):

2014-11-18(2cs化疗后):

2015-1-6(4cs化疗后):

2015-2-28 (6cs化疗后):

治疗经过:
2015.2-2016.1:BEV+希罗达 维持治疗16cs
2015.5,2015.9 复查评效均为SD
期间复查肿标: CEA、CA199均正常
SD:
2015-5-7:

2015-9-8:

2015-5-7:

2015-9-8:

2015-5-7:

2015-9-8:

治疗经过:
2016.1复查评效均 PD
2016.1 肿标:CEA 12.64ng/mL、CA199 52.46U/mL
腹部增强CT:
PD:
2015-9-8:

2016-1-6:

2015-9-8:

2016-1-6:

2015-9-8:

2016-1-6:

进一步治疗:
2016.1-2016.4. FOLFIRI+BEV化疗6个周期
第3、第6周期后评效均为SD
化疗后1个月肿瘤标志物均降至正常
SD:
2016-1-6(疗前):

2016-3-13(3周期后):

2016-5-9 (6周期后):

2016-1-6(疗前):

2016-3-13(3周期后):

2016-5-9 (6周期后):

2016-1-6(疗前):

2016-3-13(3周期后):

2016-5-9 (6周期后):

治疗经过:
2016.5-2016.8:BEV+希罗达 维持治疗6cs
2016.9 复查评效胸部CT有新出现结节,腹CT同前
期间复查肿标: CEA、CA199均正常
2016-9-7 胸部增强CT:


腹部增强MR:
2016-10-20(术前):




肝脏手术:
2016-10-27 外院手术:全麻下左肝部分切除+胆囊切除+肝门淋巴结切除+门静脉右支结扎术
术中探查右肝S5胆囊旁、S7、S8、S6多个肿物,肝S3、S4、S5近膈面各可见病灶。术中S5胆囊旁病灶与门静脉左支主干关系密切,尝试分离失败,无法行根治性手术,告知家属,同意作左肝病灶切除+门静脉右支结扎术,二期行右半肝切除。
术后病理:(肝S3、4、5段)切除,中分化腺癌,最大径0.6cm,符合结肠癌肝转移;门静脉旁淋巴结切除,未见癌转移(0/2)
目前情况:
患者术后恢复可
术后外院复查腹盆腔增强MR (2016-11-23) :左肝部分切除术后,余肝多发转移灶较前增大。不宜行二期肝切除。
CEA 21.36ng/mL,余指标正常
肿瘤进展
腹部增强MR:
2016-11-23(术后):




治疗经过:
2016.11-2017.4:FOLFIRI+BEV维持治疗10cs
2017.1复查评效均 SD
2017.1肿标:CEA 6.51ng/mL、CA199 49.90U/mL
腹部增强CT:
2016-1-6:

2017-1-4:

治疗经过:
2017.5.8-2017.11.12:BEV+希罗达维持治疗 9CS
2017.10.24复查评效 肝S8病灶较前新出现 PD
2017.10肿标:均阴性
腹部增强MR:
PD:
2017-10-24:



治疗经过:
2017.11.13-2018.1.11:BEV+开普拓 3CS
2018.1.12-2018.1.26:希罗达 1CS
2018.1复查评效 肝S8病灶较前体积缩小
2018.1肿标:均阴性
2018.3.1:外院行射频消融
2018.4.29-2018.5.21:培美曲塞+替吉奥 1CS
2018.5复查评效:肝S8病灶较前增大,右肺下叶外侧 段新发结节
2018.5肿标:CEA:51.82ng/mL CA199:144.30U/ml

自2019-10至今患者用药:贝伐单抗
长期带瘤生存
治疗总结:

讨论:
该患者下一步治疗方案?
结肠癌肝转移原发灶及转移灶的切除时机;
转移性结直肠癌的最佳化疗方案选择。
查看更多