查看更多
密码过期或已经不安全,请修改密码
修改密码
壹生身份认证协议书
同意
拒绝
同意
拒绝
同意
不同意并跳过
病史摘要
年龄:42岁
性别:女
婚姻状况:已婚
生育状况:G1P1
主诉:左乳癌术后3年余,发现转移2周
初诊我院时间:2015-06-25
现病史:2011-11-29在我院行左侧乳癌改良根治术,病理:肿物2*1.5*1cm,浸润性导管癌,II级,脉管癌栓(+),淋巴结(1/13)IHC: ER(1+), PR(-), Her2(2+), Ki67(40%+),Her2 FISH:阴性。术后诊断:左乳浸润性导管癌术后 pT1N1M0 IIA期 Luminal B样 HER2阴性型,术后EC-T方案辅助化疗8程(末次化疗2012-05-14),辅助放疗25次,口服TAM至2015-06。体检发现多发肝、骨转移。
既往史/家族史:既往体健。家族史无特殊。
入院检查
体格检查:左乳缺如,左胸壁可及长约12cm手术瘢痕,愈合良好,未及明显结节。右乳未及明显结节,双侧腋窝及双侧锁骨上下区未及明显肿大淋巴结。
实验室检查:血常规、生化常规无特殊。肿瘤标志物:正常范围内。
影像学检查:2013-11-12 我院颈部+胸部+上腹部CT提示左侧乳腺可见一巨大肿物,范围约68mm×112mm,密度不均匀,内见液气平面,边界不清,与后方胸大肌分界不清,与乳头分界不清,邻近皮肤增厚;考虑左乳癌,左侧腋窝可见数个淋巴结,部分为肿大淋巴结,约11mm×14mm。余未见明显异常。

复发转移
2015-06-08常规门诊随访,未诉不适,查体无特殊
常规乳腺、引流区淋巴结、上腹彩超,肿瘤标志物
2015-06-11我院腹部彩超示:
肝内多发低回声灶,考虑肝M可能性大
2015-06-15我院颈胸腹CT提示:
肝内多个转移瘤
多发颈胸腰椎骨骨质异常,考虑转移
2015-06-16我院ECT示:
全身多发性骨转移


肝转移灶活检
2015-06-25彩超引导下肝转移灶活检
病理:肝组织中见低分化腺癌浸润,结合临床,符合乳腺癌肝转移
IHC: 癌细胞ER(90%+), PR(1%+), Her2(1+), Ki67(40%+), GATA-3(+), HEP(-)
诊断:左乳浸润性导管癌术后 肝骨转移 IV期
Luminal B样 HER2阴性型
一线GT方案化疗
2015-07-02开始GT方案化疗
吉西他滨1.4g d1、d8+脂质体紫杉醇120mg d1、d8,Q3W
唑来膦酸4mg Q3W
2015-07-02开始GT方案化疗
吉西他滨1.4g d1、d8+脂质体紫杉醇120mg d1、d8,Q3W
唑来膦酸4mg Q3W
2015-07-02开始GT方案化疗
吉西他滨1.4g d1、d8+脂质体紫杉醇120mg d1、d8,Q3W
唑来膦酸4mg Q3W
2015-09-07开始继续GT方案化疗3程
吉西他滨1.4g d1、d8+脂质体紫杉醇120mg d1、d8,Q3W
唑来膦酸4mg Q3W
2015-09-07开始继续GT方案化疗3程
吉西他滨1.4g d1、d8+脂质体紫杉醇120mg d1、d8,Q3W
唑来膦酸4mg Q3W

2015-09-07开始继续GT方案化疗3程
吉西他滨1.4g d1、d8+脂质体紫杉醇120mg d1、d8,Q3W
唑来膦酸4mg Q3W
2015-11-19继续GT方案化疗6程
吉西他滨1.4g d1、d8+脂质体紫杉醇120mg d1、d8,Q3W
唑来膦酸4mg Q3W
戈舍瑞林3.6mg H Q28d

2015-11-19继续GT方案化疗6程
吉西他滨1.4g d1、d8+脂质体紫杉醇120mg d1、d8,Q3W
唑来膦酸4mg Q3W
戈舍瑞林3.6mg H Q28d

2016-02-11开始GT方案化疗9程吉西他滨 1.4g d1、d8+脂质体紫杉醇 120mg d1、d8,Q3W
唑来膦酸 4mg Q3W
戈舍瑞林 3.6mg H Q28d(第5程开始)
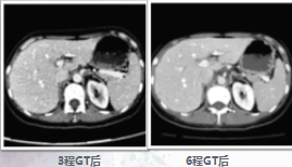
3程化疗后good PR
6程化疗后SD(较3程比较)
9程化疗后SD(较3程比较)
内分泌维持
2016年2月氟维司群 500mg Q28d+依维莫司10mg Qd
唑来膦酸 4mg Q28d
戈舍瑞林 3.6mg H Q28d
氟维司群 500mg Q28d+依维莫司10mg Qd
唑来膦酸 4mg Q28d
戈舍瑞林 3.6mg H Q28d

病例总结
一线化疗后达到SD/PR/CR的患者,维持治疗可获益
化疗维持,尤其是静脉化疗维持,往往患者依从性差
内分泌维持是目前推荐的选择,但最佳维持用药目前尚不明确;
氟维司群作为内分泌维持用药,是不错的选择。
查看更多