查看更多
密码过期或已经不安全,请修改密码
修改密码
壹生身份认证协议书
同意
拒绝
同意
拒绝
同意
不同意并跳过
气管憩室(tracheal diverticulum,TD)临床并不少见,CT为其主要检测诊断手段。胸部CT体检日益普及,TD检出率不断提高。
TD为胸腔入口气管旁气囊最主要成员之一,多为CT检查偶然发现,多位于气管右侧,发生率为1%~4%,男性多于女性,可能与慢性阻塞性肺病(COPD)有关,确切病因及病理生理机制尚未完全明确。
先天性TD可能为残余肺组织,或为早产患儿初始肺芽异常的高位隔离,也可能是气管后壁发育过程中内胚层分化缺陷或胎龄第6周气管软骨发育缺陷引起,憩室壁结构与气管壁相同;
后天性TD多见于成人,一般认为是在增高的气管内压长期作用下,气管黏膜通过气管壁薄弱部分局限性囊袋状突出而形成,其内壁由柱状纤毛上皮组成,囊壁缺乏平滑肌和软骨,多见于慢性咳嗽患者。
经病理证实的TD国内外研究多为个案报道,手术的主要原因在于出现了一些严重的临床症状,包括声音嘶哑、反复感染、呕血、吞咽困难、难以与肿瘤鉴别、复查增大等。
诊断时可测量观察如下指标:
气管憩室与气管间最小间隔(diverticulum tracheal septum,DTS)
憩室气管间气瘘管(aerated fistula between the diverticulum trachea,AFDT)走行、充气状况
TD内分隔情况
气管的最大前后径和最大横径
CT是TD的主要检查方法,约半数患者显示AFDT,诊断明确;未显示AFDT者,因其发生部位特殊,需与喉气囊肿、咽膨出、Zenker's憩室、肺尖疝、肺尖肺大泡等相鉴别。

男,67岁。a)首次CT发现气管右侧TD,形态略呈多边形,边缘平直微凹,DTS较宽,气管呈卵圆形;b)三年半后随访复查示TD形态饱满,边缘圆鼓,体积增大,DTS明显变窄,气管呈剑鞘状。

男,74岁。a)首次CT发现气管右侧DT,形态略饱满,DTS较薄,内及纤细分隔;b)两年后随访复查示TD壁、分隔明显增厚,体积缩小,DTS变宽。

男,66岁。a)首次CT发现气管右侧DT,形态略饱满,DTS较厚,头臂干见钙化(箭);b)一年半后随访复查示TD形态较饱满,体积增大,DTS稍变薄,AFDT充气再现,头臂干见钙化(箭)。

男,76岁。a)首次CT检查胸部矢状面MPR示TD充气,AFDT与水平线夹角为91.8°;b)一年半后随访复查示TD充气,AFDT与水平线夹角为99.8°。

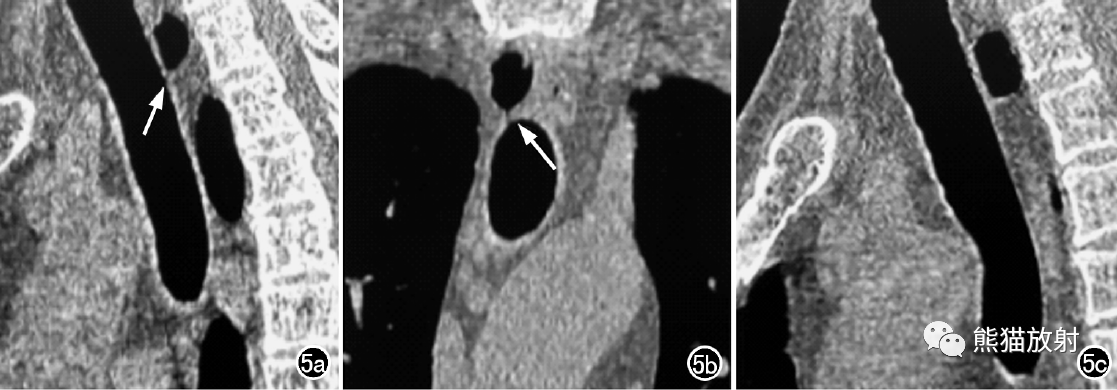
男,57岁。a)首次CT检查胸部矢状面MPR示TD下极纤细,充气AFDT向下倾斜,气管壁入口位于T2近下缘水平(箭),TD较小,位置较高,位于T1/2水平,气管稍有屈曲;b)冠状面MPR图像示气管壁入口位于T2近下缘水平(箭);c)一年多后随访复查示充气AFDT向上倾斜,足侧方向与冠状面夹角>100°,气管壁入口位于T2近中部水平,TD较大,位置较低,位于T1/2水平以下,气管较直。


男,72岁。a)首次检查CTVE未显示TD内口;b)一年多后随访复查CTVE显示4个TD内口(箭)。

女,67岁。a)首次检查CT胸部横轴面图像示气管右后缘TD;b)两年后随访复查示TD增大,DTS变薄,可见右上肺胸膜下肺大疱(箭)。
TD随访观察的意义
作者认为:如果TD缩小、AFDT闭塞,也可能是肺功能下降的表现;但如果TD内分隔增粗模糊,囊壁毛糙,TD缩小可能是炎症性渗出物机化粘连的结果,总之,随访观察TD变化对评价肺功能有一定参考价值。
来源:熊猫放射 整理自《胸部体检人群气管憩室变换的MSCT随访观察》
查看更多