查看更多
密码过期或已经不安全,请修改密码
修改密码
壹生身份认证协议书
同意
拒绝
同意
拒绝
同意
不同意并跳过
病例资料
作者:盐城市第三人民医院 李运健

















病例分析

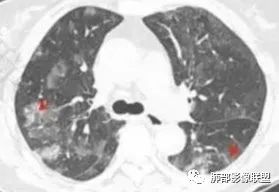
老年男性,半年病史。可惜,没旧片对比。胸膜下多发实变病灶,淋巴细胞,蛋白低。
病灶的影像特点:
外围胸膜下、支气管血管束分布
实变,密度较均匀
病灶的边缘平直、膨隆都有
内部支气管稍扩张,直达远端,或受压变形、移位
均匀强化
内部血管走形自然,稍纤细


这里似乎稍增粗

支气管通畅、稍扩张、移位——不支持支气管来源
提示间质来源、周围肺实质来源。
疾病谱:淋巴瘤、血管炎性病变、隐球菌
占位效应与收缩性均匀,内部支气管稍扩张,或推移,要考虑淋巴瘤。但因为无前后对比的,如果此起彼伏——警惕血管炎性病变,其次要待排隐球菌。隐球菌不支持的地方支气管扩张过了一点,占位效应过于明显,如下图。

总体还是支持肉芽肿性病变:肿瘤性——淋巴瘤,炎性——血管炎、隐球菌。最后考虑结核病。有前后对比可能有帮助,而且隐球菌多发,这么大的病灶又没有症状,因此待定。
病理结果
病理诊断:淋巴瘤
肺淋巴瘤的相关知识点复习
淋巴瘤为一组原因不明的累及全身淋巴网状系统的以淋巴组织过度增生为特征的恶性免疫细胞性肿瘤,病理上分为非霍奇金淋巴瘤(NHL)和霍奇金淋巴瘤(HL);肺内淋巴瘤是指淋巴瘤的肺内浸润,总共有4种:原发性肺淋巴瘤(PPL)、继发性肺淋巴瘤(SPL)、获得性免疫缺陷综合征相关淋巴瘤及移植后淋巴增殖性疾病。
原发性肺淋巴瘤(PPL)是指肺实质或支气管的淋巴组织异常增生,侵犯的主要对象就是肺间质和支气管黏膜下组织,无纵隔、肺门及其他部位的淋巴瘤,在发病时或者确诊后3个月内没有肺外病变的证据,是结外肺淋巴瘤的一种罕见类型,以肺的非霍奇金淋巴瘤(NHL)多见,其中NHL肿最常见的就是结外边缘区黏膜相关淋巴瘤组织(MALT)淋巴瘤,其次是弥漫大B细胞淋巴瘤。

肺内淋巴瘤的影像学表现形式各样,总共有五种类型,⑴结节肿块型、⑵肺炎肺泡型、⑶间质型(支气管血管淋巴管型)、⑷粟粒型、⑸混合型(多种形态并存),不过小编认为分型只是对于病灶形态的描述,很多情况下多种类型并存,其中粟粒型分型比较少见。

孤立肿块性--MALT

孤立肿块性--血管免疫母细胞T细胞淋巴瘤

肺炎肺泡型--弥漫大B细胞型淋巴瘤

多发结节、肿块型--肺淋巴瘤样肉芽肿

混合型--霍奇金淋巴瘤

颈部弥漫大B细胞淋巴瘤肺浸润
肺内淋巴瘤的影像表现都具有一些主要的特征性表现。
1.病灶分布:因为肺内淋巴瘤主要侵犯对象是肺间质和支气管黏膜下组织,病灶主要位于在沿支气管血管束分布、肺间质及胸膜下,病灶可跨叶分布。
2.病灶的密度:密度均匀,部分病灶内可见空洞及气液平,轻中度均匀强化。

MALT--密度均匀、轻中度强化
3.支气管充气征伴或不伴支气管扩张:肿瘤细胞沿肺间质及支气管黏膜下组织浸润,支气管管壁未见明显破坏,管腔内未见肿瘤细胞充填,呈现充气支气管征;充气支气管走行自然,无扭曲、僵硬,内壁管腔光滑,支气管管壁见增厚并常有管腔的扩张,含气支气管可呈串珠样不均匀扩张,扩张明显处呈空腔样或皂泡样的囊状含气影;支气管扩张目前有两种意见:一是由于肿瘤组织起源于肺间质,肿瘤沿或跨越脏器解剖结构生长,原有解剖结构残留,周围增生的纤维结缔组织牵拉导致支气管扩张;二肿瘤侵犯支气管黏膜下自主神经丛致平滑肌张力丧失;而这类支气管扩张在肿瘤治疗后有时可消失。

支气管充气征伴扩张
4.血管造影征:肿瘤组织浸润引起间质增厚、肺泡壁破坏、肺泡腔充填,而周围充盈血管走行自然,未受肿瘤侵犯。血管造影征
5.病灶的边缘:有膨隆,浅分叶,也有平直、收缩,平直收缩是因为肿瘤组织浸润致肺泡塌陷及周围纤维组织增生,牵拉正常的肺组织向病灶中心形成聚拢状改变,似呈“炎性”改变。

膨隆、平直
6.间质性改变:多位于病灶周围,可见边缘磨玻璃密度影或晕征及树芽征象,周围组织间质增厚并且有结节感,病理基础为肿瘤细胞浸润细支气管周围间质及肺泡壁。

磨玻璃影及间质小结节影
肺部影像联盟 平台发布
查看更多