查看更多
密码过期或已经不安全,请修改密码
修改密码
壹生身份认证协议书
同意
拒绝
同意
拒绝
同意
不同意并跳过
84岁老年女性,1年前出现腹胀和双下肢水肿,因症状不严重未受重视;半年前症状明显加重,仍未及时救治;入院前两周出现纳差和憋气,精神状态及一般状况较差。
20年高血压病史,口服缬沙坦氨氯地平80mg/5mg QD治疗,血压控制相对稳定。
40余年前因卵巢囊肿开腹手术,具体不详,术后病理良性(未见报告)。
5年前患肺腺癌,吉非替尼靶向治疗1年余,后停药未规律复查。
20年前因乳房肿物行右侧乳房切除术,术后病理良性。
绝经已40余年。
查体:生命体征相对平稳,仅血压轻度升高,上下肢可见明显可凹性水肿,腹壁膨隆程度超过足月妊娠子宫,腹部明显增大,触诊可及腹腔内巨大肿物延伸至剑突下,张力较高。
血生化:严重低钠血症。
肿瘤标志物:CA125、HE4明显升高。
肺功能:通气功能重度损减,属限制型通气功能障碍;弥散功能降低,应与患者配合有关;残气量降低,肺总量降低。
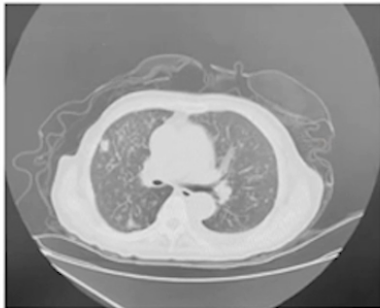
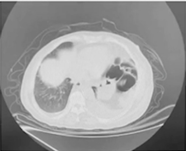
2024-5-10 CT平扫:全子宫+双侧卵巢切除术后,腹盆腔巨大囊性占位,腹盆腔内器官受压移位,腹壁软组织水肿。左肺上叶、右肺下叶占位,较前增大;双肺多发结节,较前明显增多、增大,均考虑转移进展。左侧胸腔积液并左肺下叶膨胀不全,较前新发。左侧第10后肋局部骨质破坏,较前新发,转移可能。
2024-5-13 妇科彩超:宫颈大小正常,双卵巢未探及,盆腹腔巨大囊实性肿物28cm×35cm×17.7cm,内壁不平,实性突起直径5.4cm,内有分隔,厚约0.6cm。
2024-5-26 MR增强:腹盆腔巨大囊性信号灶,最大横截面大小约27.5cm×17.7cm,其内局部多发乳头状突起,最大截面3.3cm×2.8cm,无明显强化,考虑残存附件上皮来源可能。
2024-5-26 妇科彩超检查:子宫次全术后,盆腹腔巨大非纯囊实性肿物,囊实性肿物实性区血流信号RI 0.73、PI 1.39,壁上血流信号RI 0.61、PI 0.99。


2024-5-29 双下肢血管彩超:右侧小腿比目鱼肌静脉血栓形成。
2024-5-29 颈动脉彩超:双侧颈动脉硬化并斑块形成。
心电图、超声心动图:大致正常。
1、盆腔肿物(性质待查);2、肺癌(腺癌,骨转移?);3、高血压病;4、盆腔术后(部分子宫切除+附件手术不详);5、乳腺切除术后;6、轻度贫血;7、低钠血症
鉴于患者病情复杂,进行多学科联合会诊,包括内分泌科、呼吸科、麻醉科等多个科室。会诊后认为患者基础状况差,手术切除肿物的术中和术后死亡风险高,且肺癌处于未控进展状态,生存期有限。若不干预,生存期约半年到一年。因此,初步决定继续补液、纠正电解质、对症治疗,并通过穿刺引流囊肿缓解腹胀憋气症状。引流液为巧克力色黏稠液体,每日引流量1000-2000ml,共引流5-6天,总量达9000ml。引流液病理提示为渗出液,未见到明显肿瘤异型细胞。

计划出院时,患者拔管当天下午出现发热,体温最高38.2℃,血象提示中性粒细胞和C反应蛋白升高,尿常规感染指标升高,引流管导管尖端培养出粪肠球菌,虽双上肢血培养仅一瓶革兰氏阳性球菌阳性,考虑污染可能性大,但仍不能排除感染。多次彩超检查提示盆腹腔肿物情况变化,考虑仍不除外恶性。完善颈胸腹盆CT平扫后,给予亚胺培南西司他丁钠(泰能)经验性抗感染治疗,两天后炎症趋于稳定,体温得到控制。此时患者下一步治疗方向难以决定,遂进行第二次MDT。

第二次MDT会诊后认为,虽使用泰能抗感染治疗后病情趋于稳定,但感染灶难以根除,手术是解决感染灶的唯一有效方法。然而,患者面临高龄、合并症多、围术期风险高以及肺癌未有效控制、预计生存期短等难题。与患者和家属充分沟通后,决定手术。
6月9日,在气管插管全麻下实施开腹病灶清除术。术中见大囊肿与盆腹壁及盆腔组织粘连致密,囊内剩余囊液6500ml,引流后可见囊内基底部有菜花样实性凸起。手术顺利,术后患者顺利脱机拔管,转回普通病房继续抗炎补液、对症治疗,术后明显好转,平稳出院。肿物病理报告为浆液性囊腺瘤,考虑诊断为IC期。
查看更多
专家点评
本病例是一例高龄、合并多种严重疾病的复杂盆腔巨大肿物。患者的诊疗过程,对我们妇科肿瘤医生的临床思维、医患沟通和个体化处理能力提出了很高的考验。
在鉴别诊断上,根据肿物生长相对缓慢、影像学以囊性为主、肿瘤标志物仅轻中度升高等特点,术前综合分析认为卵巢交界性肿瘤的可能性大,这与术后病理结果相符。尽管肿瘤有明确的手术指征,但患者高龄、肺癌伴骨转移、营养不良、心肺功能储备差、存在下肢血栓等高危因素,使得手术风险极高。此时,不能简单地套用诊治规范,与家属充分沟通后,确立了以改善当前生活质量、解决最突出问题为首要目标的个体化策略。因此,我们采取了分步走的方案:先进行姑息性囊液穿刺引流,以迅速缓解压迫症状;继发感染后,治疗目标及时调整为以最小创伤切除肿瘤、清除感染灶。我们与患者及家属再次沟通,明确了此次手术为限期姑息性切除,而非根治性分期手术,最终通过相对有限的切口完成了肿瘤切除。
妇科肿瘤的诊治固然有规范和指南,但面对具体患者时,必须进行个体化的权衡。尤其是对于预期生存期有限、合并症多的老年患者,治疗决策不应机械追求肿瘤的根治,而应全面评估其全身状况、主要矛盾与潜在风险,将提高生活质量作为首要考量,并在整个过程中与患者和家属保持充分、坦诚的沟通,共同制定最适合该患者的治疗方案。