壹生大学

壹生身份认证协议书

本项目是由壹生提供的专业性学术分享,仅面向医疗卫生专业人士。我们将收集您是否是医疗卫生专业人士的信息,仅用于资格认证,不会用于其他用途。壹生作为平台及平台数据的运营者和负责方,负责平台和本专区及用户相关信息搜集和使用的合规和保护。
本协议书仅为了向您说明个人相关信息处理目的,向您单独征求的同意,您已签署的壹生平台《壹生用户服务协议》和《壹生隐私政策》,详见链接:
壹生用户服务协议:
https://apps.medtrib.cn/html/serviceAgreement.html
壹生隐私政策:
https://apps.medtrib.cn/html/p.html
如果您是医疗卫生专业人士,且点击了“同意”,表明您作为壹生的注册用户已授权壹生平台收集您是否是医疗卫生专业人士的信息,可以使用本项服务。
如果您不是医疗卫生专业人士或不同意本说明,请勿点击“同意”,因为本项服务仅面向医疗卫生人士,以及专业性、合规性要求等因素,您将无法使用本项服务。

同意

拒绝

同意

拒绝

知情同意书

同意

不同意并跳过

工作人员正在审核中,
请您耐心等待
审核未通过
重新提交
完善信息
{{ item.question }}
确定
收集问题
{{ item.question }}
确定
您已通过HCP身份认证和信息审核
(
5
s)

晚期鼻咽癌多线治疗陷困境,艾托组合抗体助力患者“柳暗花明”

2025-09-23作者:zhaomin资讯









鼻咽癌是我国华南地区及其他东南亚国家高发的恶性肿瘤,带来了较大的疾病负担和健康威胁,对于复发/转移性鼻咽癌(R/M NPC)患者而言,其后线治疗更长期面临着艰巨挑战,治疗手段与效果均亟待突破。在此背景下,全球首个基于MabPair®抗体工程技术开发的PD-1/CTLA-4双功能组合抗体——艾帕洛利托沃瑞利单抗(简称“艾托组合抗体”),通过2:1固定比例协同阻断双靶点,实现“增效降毒”,为身处困境的R/M NPC患者开辟出全新的治疗路径。

本期特邀个旧市人民医院张燕医生分享一例多线治疗失败的晚期鼻咽癌病例。患者经艾托组合抗体联合化疗治疗后,疗效实现PR,显著改善了患者的生活质量。此外,本文还从艾托组合抗体的药物作用机制、疗效与安全性数据等维度展开剖析,为医学同道提供宝贵的借鉴与启示,助力鼻咽癌治疗领域的发展与进步。











病例介绍



患者基本情况



患者男性,60岁

主诉:鼻咽癌院外放疗、化疗后免疫维持治疗6周期后进展,骨、肝转移

现病史:

  • 患者右侧颈部淋巴结肿大,2023年9月9日于外院行右侧颈部淋巴结活检,提示鼻咽未分化型非角化型癌淋巴结转移。患者遂到上级医院就诊,明确诊断:鼻咽癌未分化型非角化型癌cT3N3M1 IVC期 右侧颈部淋巴结、左侧肋骨转移,行4周期白蛋白紫杉醇联合顺铂化疗,C5-6化疗同步联合放疗33周期。后续行替雷利珠单抗(200mg)维持治疗共6周期,其中联合卡培他滨(早3片、晚2片)治疗2周期。因化疗药物耐受不良,患者自行停用卡培他滨。

  • 2024年5月9日上级医院复查MRI提示:肝S8转移,多个胸椎、腰椎、髂骨转移。疗效评价 :PD,目前左侧肩胛骨及左侧肋骨阵发性酸胀疼痛,每次持续数分钟,口服布洛芬不能缓解。

既往史:无特殊。

体格检查



体重:45kg,身高:155cm。ECOG评分0分,一般情况可。

辅助检查







肿瘤标志物

AFP、CEA、CA19-9、CA125、CA72-4、ProGRP、NSE均在正常范围。





影像学检查

增强CT(2024年5月14日):双侧肩胛骨、锁骨、双侧部分肋骨密度增高。肝实质多发病灶,转移可能。胸2、6、7、8椎体、胸腰椎附件弥漫性骨质密度增高,转移可能。

诊断

1. 鼻咽癌未分化型非角化型癌cT3N3M1 ⅣC期放化疗,免疫维持治疗后,双侧咽后、颈部右侧-Ⅳ区、左侧区淋巴结转移,左侧肋骨、胸腰椎、髂骨转移,肝转移

2. 化疗后骨髓抑制

3.贫血

治疗经过







一线治疗

  • 放疗,白蛋白紫杉醇+顺铂化疗6周期,替雷利珠单抗联合卡培他滨维持治疗。患者体重下降,腰痛明显,2024-5-14 增强CT:双侧肩胛骨、锁骨、双侧部分肋骨、胸2、6、7、8椎体、胸腰椎附件转移。 肝实质多发转移。

  • 疗效评价:PD





二线治疗(2024年5月起)

  • 肿瘤进展,经多学科会诊,患者化疗副作用明显,要求去化疗治疗,予西妥昔单抗注射液500mg+替雷利珠单抗200mg方案治疗3周期(2024年5月15日、6月5日、6月28日)。

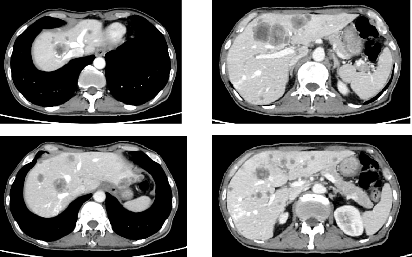
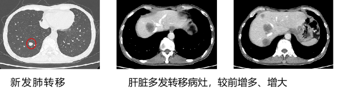
  • 疗效评价:PD,新发肺转移,肝转移增多增大。

  • 影像学:增强CT(2024年7月18日)

image.png





三线治疗(2024年7月起)

  • 白蛋白紫杉醇+卡铂+替雷利珠单抗治疗2周期(2024年7月19日、8月9日),Ⅲ度骨髓抑制(白细胞、血红蛋白下降),故白蛋白紫杉醇+替雷利珠单抗维持治疗2周期(2024年8月30日、10月10日),因肝转移,期间联合局部介入治疗(经肝动脉DSA+TACE,2024年9月4日、10月12日)。治疗期间患者骨髓抑制严重,精神萎靡,体重下降,ECOG评分2分。

  • 疗效评价:PD。

  • 影像学:增强CT(2024年11月8日):肝脏多发转移灶较前增多、增大,病灶仍有活性。

image.png







四线治疗(2024年11月起)

鉴于患者多线治疗后,肿瘤进展迅速,体能状况急剧下降,目前无标准化治疗,治疗团队参考了DUBHE-N-302研究。该研究结果显示,艾托组合抗体联合吉西他滨和顺铂方案治疗R/M NPC患者总体ORR为82.1%,DCR为96.4%,mPFS为12.5个月,具有良好的疗效和可耐受的安全性,为本方案提供了重要的循证医学依据。经与患者及家属充分沟通并获得明确知情同意后,治疗团队决定采用此方案。

  • C1(2024年11月9日):吉西他滨+顺铂+艾托组合抗体方案治疗,联合止痛治疗。C1D1治疗后患者出现骨髓抑制(Ⅳ°白细胞减少,Ⅳ°血小板减少),经积极抗感染、输血(红细胞、血小板)及升白细胞治疗好转。因骨髓抑制严重,C1D8未予吉西他滨化疗。化疗联合艾托组合抗体治疗后,患者腰痛减轻。

  • C2(2024年12月13日):吉西他滨+顺铂+艾托组合抗体方案治疗,聚乙二醇重组化人粒细胞刺激因子预防骨髓抑制;C2D8未予吉西他滨;患者疼痛症状显著缓解,停用止痛药,精神明显好转、饮食增加。



  • 2周期联合治疗后疗效评估:PR

  • 影像学:增强CT(2025年1月3日):双肺多发微小实性结节,部分较前消散;肝脏多发转移灶较前缩小、减少,病灶仍有活性。

  • C3-6周期(2025年1月4日—3月14日):C3-6D1吉西他滨+顺铂+艾托组合抗体方案治疗,聚乙二醇重组化人粒细胞刺激因子预防骨髓抑制 。

  • 6周期联合治疗后疗效评估:SDa.

  • 影像学:增强CT2025年3月13日):双肺多发微小实性结节,大致同前;肝脏多发转移灶较前稍缩小,病灶仍有活性。



维持治疗



  • C1-4(2025年4月6日—6月11日):吉西他滨+艾托组合抗体方案维持治疗,未使用预防性骨髓抑制药物。

  • 3周期维持治疗后疗效评估:SD.

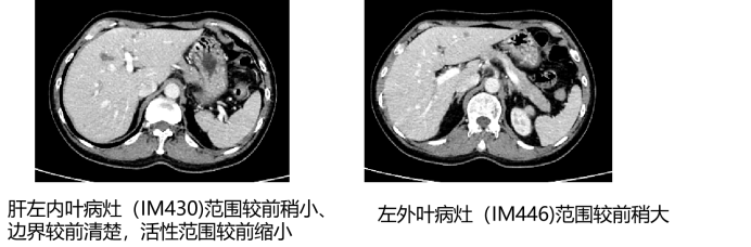
  • 影像学:增强CT(2025年5月20日):双肺多发微小实性结节,大致同前;肝左内叶病灶范围较前稍小,活性范围较前缩小,左外叶病灶范围较前稍大,其余病灶大致同前,部分病灶仍有活性。

image.png
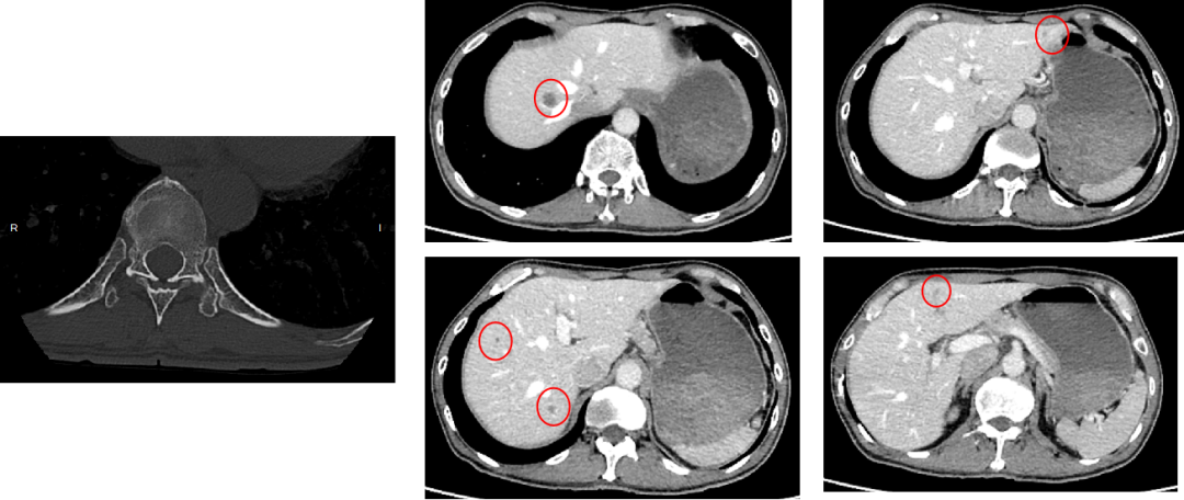
  • MRI增强(2025年5月21日):肝脏多发转移灶,其中肝左内叶病灶未见确切活性,部分病灶仍有活性;部分胸腰椎内异常信号,考虑转移。

image.png

治疗过程中,患者生活质量明显改善、精神明显好转



image.png

治疗回顾



image.png



病例点评



01

焕发生机

艾托组合抗体带来显著生存获益



本病例展示了一例极具挑战性的晚期鼻咽癌患者的综合治疗历程。患者历经多线治疗方案后,疾病仍持续进展,影像学提示双肺新发转移灶、肝脏转移灶增多并增大,同时伴有癌性疼痛及骨髓抑制。此外,患者对化疗存在显著抵触情绪,此时临床决策面临极大挑战。

在此困境下,治疗团队依托前沿学术进展,创新性地引入艾托组合抗体,联合吉西他滨与顺铂实施四线治疗。该方案显示出卓越的抗肿瘤活性和起效速度:治疗仅2周期后,影像学评估即达PR,肝脏及肺部转移灶显著缩小、减少。尤为重要的是,患者原本需要阿片类药物控制的癌痛显著缓解,得以停用止痛药,显示了该方案在缓解症状、提高生活质量方面的显著优势。后续患者顺利完成3周期维持治疗,疗效评估SD,总生存期已超过19个月,证实了艾托组合抗体疗效的深度和持久性,突显其在晚期难治性鼻咽癌中的长期获益潜力。

更加可贵的是,患者在艾托组合抗体治疗后,“生活质量明显改善、精神明显好转”。这不仅意味着生物学意义上的治疗应答,更反映出患者整体状态的恢复——从疼痛困扰、功能受限转向生活质量改善、精神好转。这种以患者为中心的治疗结局,突显了艾托组合抗体在难治性鼻咽癌中的综合价值。

本案例的成功,既得益于艾托组合抗体优异的疗效和良好的安全性,也反映出临床团队对复杂疾病状态的精准判断、对创新药物的高水平应用、对不良反应的规范管理能力以及对多学科协作模式的成熟运用。该经验为全国同级别医疗机构提供了可借鉴、可推广的成功范式,极大增强了创新治疗策略惠及更广泛患者的信心。此外,诊疗过程中整合了多地区、多层级的医疗资源,体现了现代肿瘤诊疗中多学科、跨区域协作的重要发展趋势,为我国分级诊疗制度下高难度肿瘤患者的综合管理提供了有益范例。







02

创新驱动

艾托组合抗体双靶协同实现高效低毒

艾托组合抗体采用共轻链及不对称Fc改造技术,实现了抗PD-1抗体与抗CTLA-4抗体2:1的精准协同作用:PD-1单抗通过解除T细胞杀伤抑制发挥抗肿瘤效应,并选用无抗体依赖细胞介导的细胞毒性作用(ADCC)的IgG4亚型,以避免效应T细胞耗损;CTLA-4单抗则采用具有ADCC效应的IgG1亚型,可清除对免疫具有抑制作用的Treg细胞,解除其免疫抑制。尤为关键的是,通过对CTLA-4抗体Fc段进行点突变改构,减弱其与FcRn的结合亲和力,艾托组合抗体半衰期缩短至约1周,有效减少了药物在体内的蓄积及相关毒性风险。这种在持续使用抗PD-1抗体的同时降低CTLA-4抗体暴露的独特特性,有望显著改善治疗安全性和耐受性,为患者接受长期治疗提供基础。本案例中,患者在前期PD-1单抗治疗失败后,经艾托组合抗体治疗仍能实现疗效PR,有力印证了其双重机制协同增效的优越性。

临床研究数据亦进一步支持其应用价值。在晚期实体瘤患者的Ⅰ/Ⅰb期研究(QL1706-102研究)中,艾托组合抗体展现出良好的安全性特征,≥3级TRAE发生率为16%,≥3级irAE发生率仅为8.1%。聚焦于该研究中既往未经免疫治疗的鼻咽癌患者亚群,确认的客观缓解率(ORR)达38.7%,疾病控制率(DCR)为59.7%;安全性方面,≥3级TRAE发生率降至12.7%,免疫相关严重TRAE发生率为7.3%,且未观察到导致治疗中止或死亡的TRAE。在DUBHE-N-302研究中,艾托组合抗体联合吉西他滨和顺铂方案展现出显著疗效,总体ORR为82.1%,DCR为96.4%,mPFS为12.5个月;其中PD-L1高表达(CPS≥50)患者获益更为显著,mPFS为16.2个月,且未发生治疗相关死亡事件,整体安全性可耐受。

艾托组合抗体的成功,充分彰显了中国原研药企在肿瘤治疗领域的强大实力。本病例雄辩地证明,艾托组合抗体凭借其卓越的疗效和安全性,有能力为多线治疗失败的晚期鼻咽癌患者开启全新的生命窗口。更重要的是,该案例系统展示了通过多学科协作、精细化不良反应管理与个体化治疗策略,能够将创新药物的临床价值最大化,为患者制定融合科学、艺术与人文关怀的个体化诊疗方案。

展望未来,随着高级别循证医学证据的持续积累,艾托组合抗体将为更多肿瘤患者提供疗效显著且安全性良好的治疗选择。该药物的研发进展与应用深化,不仅体现了中国在肿瘤免疫治疗领域的研发能力,也将为世界抗肿瘤事业注入新的科学动力与中国智慧。











张燕 教授

个旧市人民医院

  • 个旧市人民医院普外Ⅱ(肿瘤)科副主任医师

  • 云南省医学会肿瘤学分会青年委员会委员

  • 云南省抗癌协会癌症康复与姑息治疗专业委员会委员

  • 云南省医师协会《肿瘤转化医学医师分会》委员会委员

  • 云南省红河州医学会肿瘤学分会肿瘤化学治疗学组委员

  • 从事呼吸内科、肿瘤内科临床、科研、教学工作近14年,曾到广州呼吸疾病研究所进修;云南省肿瘤医院攻读硕士研究生,主要从事结直肠癌免疫治疗相关机制研究;参与完成省、州、市科技进步奖2项,在国内医学期刊发表论文5篇,是红河州内具有影响力的专家。

  • 擅长:晚期肺癌个体化综合治疗的全程化管理。超声引导下的经皮肺活穿、胸膜活检术;纤维支气管镜下肺活检术。对于肺部肿瘤综合性治疗及快速康复治疗有丰富的临床经验。呼吸系统急危重症的救治、常见肺部疾患的诊治。结直肠癌、乳腺癌、食管癌、胃癌、肝癌、恶性胸腹腔积液的诊治及肿瘤化学治疗、免疫治疗、分子靶向治疗的个体化、综合性治疗。晚期癌症患者的姑息、癌痛、营养、康复的综合治疗。







审校丨个旧市人民医院 张燕

整理丨中国医学论坛报 赵敏




感谢齐鲁制药对本项目的公益支持!

200 评论

查看更多