壹生大学

壹生身份认证协议书

本项目是由壹生提供的专业性学术分享,仅面向医疗卫生专业人士。我们将收集您是否是医疗卫生专业人士的信息,仅用于资格认证,不会用于其他用途。壹生作为平台及平台数据的运营者和负责方,负责平台和本专区及用户相关信息搜集和使用的合规和保护。
本协议书仅为了向您说明个人相关信息处理目的,向您单独征求的同意,您已签署的壹生平台《壹生用户服务协议》和《壹生隐私政策》,详见链接:
壹生用户服务协议:
https://apps.medtrib.cn/html/serviceAgreement.html
壹生隐私政策:
https://apps.medtrib.cn/html/p.html
如果您是医疗卫生专业人士,且点击了“同意”,表明您作为壹生的注册用户已授权壹生平台收集您是否是医疗卫生专业人士的信息,可以使用本项服务。
如果您不是医疗卫生专业人士或不同意本说明,请勿点击“同意”,因为本项服务仅面向医疗卫生人士,以及专业性、合规性要求等因素,您将无法使用本项服务。

同意

拒绝

同意

拒绝

知情同意书

同意

不同意并跳过

工作人员正在审核中,
请您耐心等待
审核未通过
重新提交
完善信息
{{ item.question }}
确定
收集问题
{{ item.question }}
确定
您已通过HCP身份认证和信息审核
(
5
s)

综合最新循证证据,指导肺癌术后精准治疗丨病例寻踪

2026-01-04作者:论坛报岳岳资讯
非原创

肺癌是目前发病率及死亡最高的恶性肿瘤,全球范围内关于肺癌治疗的临床试验正如火如荼地展开,新的药物以及治疗手段不断更新,刷新着越来越高的生存获益!本期借一例近期肺癌病例介绍同济大学附属东方医院胸外科如何联合多学科讨论,借助最新循证证据,优化肺癌术后精准治疗!


病例简介

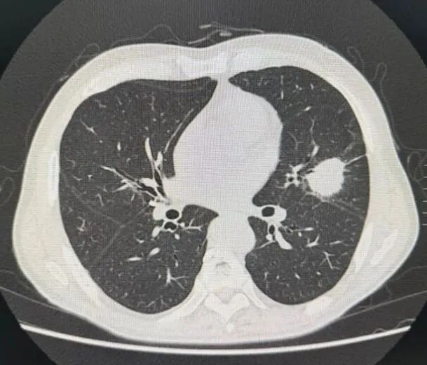
患者男性73岁;既往12年前行肝癌切除术;本次当地医院体检行胸部CT发现左上肺占位,大小约3.3 cm✖️2.7 cm。



PET-CT全身评估:左肺上叶实性结节FDG代谢异常增高,考虑恶性病变;


应用超声支气管镜探查肺门及纵隔淋巴结,未见转移。


利用CT引导下肺病损穿刺活检,明确病理为:浸润性腺癌。


完善评估患者cT2aN0M0 IB期,符合手术指征遂行“胸腔镜下左肺癌根治术+淋巴结清扫”。术后病理揭示患者肿瘤学特征:低分化腺癌;STAS(+);ALK融合突变;淋巴结转移包括:第4组、5组、11组、12组。


MDT讨论制定治疗方案


患者术后诊断:左肺上叶癌(pT2aN2bM0 IIIB期)


术后1月同济大学附属东方医院胸外科安排MDT讨论治疗方案。


放疗科(向作林教授):结合患者术后病理为pT2aN2bM0 IIIB期,多站N2且为R(un)切除(最高组淋巴结阳性),复发风险高。参考2025 WCLC中最新讨论观点,对于N2阳性尤其是多站淋巴结转移(N2b)患者,术后辅助放疗(PORT)可显著改善局部区域控制率(LungART研究提示术后放疗可显著降低纵隔复发率),尤其对于R(un)或R1切除者。建议行累及野放疗并涵盖更高组纵隔淋巴结区域,以降低局部复发风险。


肿瘤科(林昀教授):该患者术后病理为pT2aN2bM0 IIIB期,多站N2且肿瘤低分化、STAS(+),恶性程度高,复发风险大,建议进一步辅助治疗。该患者基因检测ALK融合突变,结合ALINA研究(2024 NEJM)以及今年ESMO大会上公布的ELEVATE研究均证实了ALK-TKI在术后辅助治疗中的巨大价值,且安全性良好,可参考ALINA研究选择阿来替尼继续辅助治疗。


胸外科(方文涛教授)总结:患者术前虽经PET和EBUS纵隔分期,术后病理仍发现多组纵隔淋巴结转移,提示对于此类患者术中系统性淋巴结清扫的重要性。目前术后恢复良好,术后病理提示较多高危因素[低分化、STAS+、N2b、R(un)],与更高的局部复发率和更短的RFS和OS结局相关。建议该患者进一步术后综合治疗。根据最新的循证医学证据、综合各专家意见,建议放疗联合阿来替尼靶向治疗。


理念更新|诊疗升级

01
新版肺癌分期,N分期细化


新版肺癌分期,N分期细化:第9版TNM分期将N2进一步区分为N2a(单站淋巴结转移)与N2b(多站淋巴结转移),基于大规模回顾性数据显示两者预后差异显著(c-N2b相较于c-N2a的患者,死亡风险HR=1.27)。该患者术后病理显示第4、5、11、12组淋巴结均见转移,符合N2b,对应IIIB期,预后较N2a更差,治疗策略应更积极。


附第8版与第9版TNM分期变化图表:


02
R(un)切除


2005年国际肺癌研究协会(IASLC)提出了介于R0和R1之间的不确定性切除R(un)分类[2]。对于病例中的患者,所清扫的淋巴结中最高位(4组)淋巴结阳性,外科上属于不确定性切除,即R(un),术后复发率较高,相较R0切除患者生存率显著降低[3]。这也是为何建议该患者术后辅助治疗的重要原因。


03
新版分期关于气腔播散(STAS)的进展


STAS是独立的不良预后因素,与更高的局部复发率和更短的RFS和OS结局显著相关;



对于STAS阳性患者,肺叶切除术相较于肺段切除术,能够带来更优的肿瘤学结局,显著降低复发风险 ;


STAS与高级别组织学分级(如3级)密切相关,两者并存时患者复发风险显著叠加。


04
ALK阳性术后辅助研究进展


1、ALINA研究:


是首个在ALK阳性早期NSCLC术后辅助治疗中显示DFS显著获益的III期临床试验。该研究比较阿来替尼与含铂化疗在完全切除的IB-IIIA期患者中的疗效。


疗效持久:2025年ESMO大会公布的最新4年随访数据显示,阿来替尼组的无病生存获益持续,且两条生存曲线分开,提示其疗效在停药后仍能持续,能够实现深层的疾病控制。



有效预防脑转移:ALK阳性NSCLC脑转移风险高。ALINA研究显示,阿来替尼能显著降低78%的中枢神经系统复发风险,4年中枢神经系统无病生存率高达90.4%,为患者提供了坚实的“脑保护” 。



安全性良好:阿来替尼组患者的中位治疗时长远超化疗组(23.9个月对2.1个月),但3~4级治疗相关不良事件发生率却低于化疗组(18.0%对27.5%),表明其安全性可控,患者更容易完成全程治疗 。


2、ELEVATE研究:


今年在ESMO大会上公布的一项重磅III期临床试验,旨在评估恩沙替尼用于IB-IIIB期ALK阳性NSCLC患者术后辅助治疗的疗效和安全性。


疗效卓越:与安慰剂相比,恩沙替尼辅助治疗显著降低了80%的疾病复发或死亡风险(HR=0.20)。恩沙替尼组的2年无病生存率高达86.4%。



安全性良好:恩沙替尼在辅助治疗阶段展现了可靠的安全性,与其在晚期肺癌中的已知安全性一致,患者耐受性良好。


总结

成功的术后辅助治疗始于精准的病理分期和全面的生物标志物检测,并依托多学科团队,根据最新的指南和高级别循证证据,为患者量身定制最合适的治疗策略,最终让更多患者实现长期生存乃至治愈!


来源:同济大学附属东方医院胸外科

200 评论

查看更多