查看更多
密码过期或已经不安全,请修改密码
修改密码
壹生身份认证协议书
同意
拒绝
同意
拒绝
同意
不同意并跳过
1. 急性胆囊炎的东京指南2013版(Tokyo Guidelines 2013,TG13)诊断标准具有良好的敏感性、特异性及阳性诊断率;因此,推荐将TG13诊断标准作为TG18诊断标准。(Recommendation 1,level C)
表1 急性胆囊炎的TG18/TG13诊断标准
A. 炎症的局部体征 |
(1)墨菲征 (2)右上腹包块/疼痛/压痛 |
B. 炎症的系统表现 |
(1)发热(2)C反应蛋白升高(3)WBC计数升高 |
C. 影像学表现 |
急性胆囊炎的特征性影像学表现 |
疑诊: A中的一项+B中的意一项 |
确诊: A中的一项+B中的意一项+C |
2. 降钙素原(PCT)对于急性胆囊炎的诊断和严重程度分级作用鲜有研究,目前尚不能评估其在急性胆囊炎诊疗中的价值。(level C)
3. 尽管急性胆囊炎的超声诊断标准及其阳性诊断率在不同研究中差异较大,但是鉴于其侵入性低、普及度高、易于使用及成本效益好,故推荐其作为形态学诊断急性胆囊炎的首选影像学检查方法。(Recommendation 1,level C)
4. 近期没有研究发现彩色或能量多普勒超声对急性胆囊炎有诊断价值。从原理上讲,设备性能和患者体型等因素对多普勒超声评估血流的影响很大,这使得量化诊断难以实现。因此,指定用于进行诊断的标准水平并不恰当。(level D)
5. MRI/MRCP有助于急性胆囊炎的诊断。推荐在腹部超声不能提供明确诊断时使用MRI/MRCP。(Recommendation 2,level B)

图1 急性胆囊炎的典型增强MRI及增强CT图像
增强MRI的早期(A)和门静脉期(B),增强CT的早期(C)和门静脉期(D)。
胆囊内可见多个无信号结构(A,箭头所示为胆囊结石),胆囊壁明显增强(B)。与增强CT相比,增强MRI对胆囊壁的显示更为清晰,且对胆囊结石的显示也更好。

图2 急性胆囊炎的典型MRI和MRCP图像
A: T2加权像(单次激发快速自旋回波);B: 弥散加权成像(DWI);C: MRCP。T2加权像(A)上可见胆囊内的低信号胆囊结石及增厚的胆囊壁;DWI图像(B)示胆囊壁明显增厚,胆囊颈部可见高信号的碎片沉积。MRCP(层厚40mm)图像(C)清晰显示异常的右后肝管及胆囊颈部。
6. TG13急性胆囊炎严重程度分级中的Ⅲ级(重度)急性胆囊炎因器官损害而引起全身症状并且影响生存预后。推荐将TG13急性胆囊炎严重程度分级作为TG18急性胆囊炎严重程度分级使用,并作为判断预后的有用指标。(Recommendation 1,level C)
表2 TG18/TG13急性胆囊炎严重程度分级
Ⅲ级(重度)急性胆囊炎 |
Ⅲ级急性胆囊炎存在以下任一器官/系统功能障碍: |
1. 心血管功能不全:低血压,需要≥5ug/kg/min多巴胺或任意剂量去甲肾上腺素维持血压 |
2. 神经系统功能障碍:意识水平下降 |
3. 呼吸系统功能障碍:氧合指数(PaO2/FiO2)<300 |
4. 肾功能不全:少尿,肌酐>2.0 mg/dl |
5. 肝功能不全:PT-INR>1.5 |
6. 血液系统功能障碍:血小板计数<100×109/L |
II级(中度)急性胆囊炎 |
II级急性胆囊炎存在以下任一情况: |
1. 白细胞计数升高(>18×109/L) |
2. 右上腹触及明显的质软包块 |
3. 病程>72 h (腹腔镜胆囊切除术建议在起病96小时内进行) |
4. 局部炎症明显(坏疽性胆囊炎、胆囊周围脓肿、肝脓肿、胆源性腹膜炎、气肿性胆囊炎) |
I级(轻度)急性胆囊炎 |
I级急性胆囊炎不符合上述II级及Ⅲ级急性胆囊炎的诊断标准 |
患者无器官功能障碍,胆囊轻度炎症改变,胆囊切除术风险低 |
7. 推荐增强CT或增强MRI用于诊断坏疽性胆囊炎。(Recommendation 2,level C)

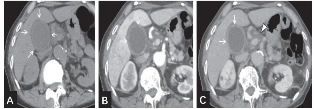
图3 典型的坏疽性胆囊炎CT图像(A平扫,B增强早期,C增强平衡期)。
CT平扫图像上可清楚显示胆囊体积增大、胆囊壁增厚及浆膜下水肿性病变。增强CT图像(B、C)上可见坏疽性胆囊炎的特征性表现:胆囊壁不规则及部分胆囊壁未强化。一过性肝实质早期强化(B)及肝十二指肠韧带水肿(C)提示炎症扩散。
8. 推荐CT用于诊断气肿性胆囊炎。(Recommendation 2,level D)

图4 气肿性胆囊炎的典型CT图像(A平扫,B增强早期,C增强平衡期)。
平扫CT显示,胆囊壁和胆囊腔内均可见明显的气体(A);胆囊颈壁明显强化(B、C);炎症扩散至十二指肠黏膜下,并可见一脓肿(C,*)。
参考文献:
Yokoe M, et al. Tokyo Guidelines 2018 diagnostic criteria and severity grading of acute cholecystitis. J Hepatobiliary Pancreat Sci 2018 Jan;25(1).
来源:齐鲁医声
查看更多