查看更多
密码过期或已经不安全,请修改密码
修改密码
壹生身份认证协议书
同意
拒绝
同意
拒绝
同意
不同意并跳过
56岁中年男性,主诉咳嗽2月,咳痰2月。
2021年10月起出现干咳伴发热(体温37.9℃),起初未重视,后咳嗽加剧伴咳白黏痰。11月15日于当地医院就诊,考虑肺炎,予青霉素联合阿奇霉素治疗一周,症状无改善。11月27日行胸部CT检查,提示左下肺斑片实变影,考虑继发性肺炎可能,给予泼尼松15mg BID一周、10mg BID一周治疗。治疗两周症状未缓解,且出现心悸气促,复查胸部CT病灶无吸收,遂自行停药,改服复方甘草合剂。两周后症状依旧,至第二家医院就诊,胸部CT显示肺部病灶增多变实,仍考虑继发性肺炎,予泼尼松30mg qd口服半月,气促稍有好转后又自行停药,期间辅以莫西沙星抗感染、乙酰半胱氨酸抗氧化治疗,复查胸部CT病灶仍无吸收,遂至我院。

个人史
体育老师,户外活动较多,余无特殊。
辅助检查
查体:生命体征平稳,专科检查见面部潮红、手部皮肤粗糙,双肺呼吸音粗,左下肺可闻及Velcro啰音,其余查体无阳性体征。

实验室检查:多项指标正常,免疫球蛋白IgE 219g/L,血沉36mm/h,CRP 6.8mg/L,真菌(1-3)-β葡聚糖升高为117.3pg/mL。MDA5(+):15AU。

心电图:大致正常。
心脏彩超:各房室腔大小正常,二尖瓣轻度关闭不全,三尖瓣轻度关闭不全,左室舒张功能减退,左室收缩功能正常。
双下肢静脉彩超:双侧下肢深静脉未见明显血栓形成。
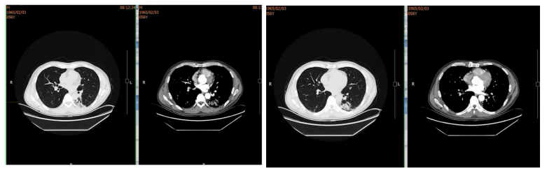
胸部CTA:双侧胸廓对称,未见明显异常。双肺多发条索斑片影,左肺下叶为主。双侧肺门、纵隔、纵隔大血管和心脏影未见异常。纵隔内各组淋巴结未见异常肿大。双侧肋膈角和心膈角锐利。


肺功能检查:肺通气功能正常,残气减低,肺总量正常,残总比减低,弥散功能正常,气道阻力增高。

病理检查
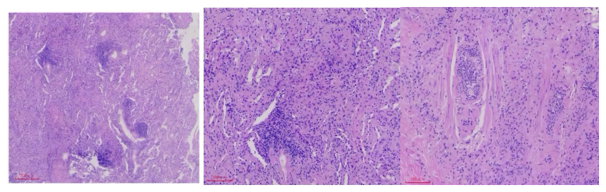
1)气管镜下冷冻活检:支气管镜全麻下经气管插管进入顺利,声门闭合可,气管环清晰,隆突锐利,双侧各叶段管腔通畅,黏膜光整,未见新生物,未见出血,见较多黏痰,予吸除。于左下叶背段灌洗送检查,刷检找结核菌、脱落细胞及液基细胞学检查;左下叶B6行冷冻活检(1.9探头,3秒,2mm直径组织块)。球囊阻塞,出血5ml,止血治疗后好转。

2)BALF:均为阴性。
3)病理结果:(左下叶背段冷冻活检)肺泡间隔增宽伴纤维化,部分区域血管旁见灶性淋巴细胞浸润,特染未见特异性病原体,请结合临床及影像学结果考虑自身免疫相关性间质性肺炎。免疫组化结果:CK (上皮细胞 +),Vimentin(间质细胞 +),LCA(淋巴细胞 +),CD68(组织细胞 +)。特殊染色结果:抗酸(-),六胺银(-),PAS(-),网染(+),偏光(-),真菌快染(-)。结核分枝杆菌基因检测结果:阴性。

(1)鉴别诊断
1)感染性疾病方面,虽患者中性粒细胞比例下降,但多项病原学及微生物检查阴性,外院抗感染治疗无效,可通过BALF完善NGS检测排查特殊病原体感染。
2)非感染性疾病中,结缔组织病相关间质性肺炎,患者有颜面红斑、手指皮肤受损,但风湿抗体、类风湿因子阴性,激酶不高且对激素治疗不敏感,需进一步查肌炎抗体谱;机化性肺炎,胸部CT提示磨玻璃样变渗出病灶两肺不对称分布,但暂无机化性肺炎病理依据,且激素经验性治疗效果不佳,需完善病理检查。
3)肿瘤方面,患者经外院抗感染、激素治疗病灶仍进展,但肿瘤标志物阴性,影像学暂不支持,可完善PET-CT检查并等待病理活检结果。

(2)进一步查体
经详细体格检查,发现患者有典型面部红斑、颈部V区征、手部Gottron征及反Gottron征。

病史+体征+肌炎抗体+病理,确诊为MDA5阳性无肌病性皮肌炎相关间质性肺炎。
(1)不同方案抉择

2)上海方案:糖皮质激素+托伐替布

3)粤港方案:利妥昔单抗

4)肺移植


(2)最终选择
综合考虑,我院与风湿科MDT讨论后,为该患者制定的治疗方案为托法替布5mg BID联合泼尼松20mg qd,同时辅以SMZ抗感染、NAC抗氧化及护胃保肝、补钙等治疗。
治疗一个月后病灶稳定,近期复查肺部病灶已明显完全吸收。


查看更多
专家点评
本病例提示了一种特殊的间质性肺病类型——抗MDA5抗体阳性相关间质性肺病,其诊疗存在诸多难点与需要关注的重点。
该病的特殊之处在于亟需早期识别。我们团队在接诊此类患者时,首先会进行细致的体格检查,重点关注特征性皮损,如面部红斑、手指的“技工手”等,这在MDA5阳性患者中较为常见。其次,对于临床表现为进行性加重或难以纠正的呼吸困难与低氧血症的间质性肺病患者,应及早考虑到抗MDA5抗体阳性的可能性,并立即完善肌炎抗体谱检测以明确诊断。
诊断明确后,必须尽早启动治疗。这类患者的管理高度依赖多学科团队协作,特别是风湿免疫科与呼吸与危重症医学科的紧密合作。早期干预至关重要,研究显示,此类患者90天死亡率可达33.3%,6个月死亡率高达50%。治疗上需及早进行风湿免疫性疾病干预,并强力抑制肺部炎症反应。根据2024年中华医学会风湿病学分会发布的专家共识,目前治疗尚缺乏高质量循证医学证据,策略需个体化制定,涉及糖皮质激素、免疫抑制剂、小分子靶向药及生物制剂等的选择与联用,同时需警惕合并机会性感染。对于终末期患者,可考虑肺移植。