查看更多
密码过期或已经不安全,请修改密码
修改密码
壹生身份认证协议书
同意
拒绝
同意
拒绝
同意
不同意并跳过
临床资料:
患者,男性,63岁,因“咳嗽咳痰伴胸闷1月余”于2020年6月4日首次入院。患者1月前无明显诱因下出现咳嗽咳痰,咳白色粘痰,量不多,痰无臭味,同时伴胸闷气喘,活动后加重,活动耐力较前明显下降,就诊于外院予抗感染等治疗后症状逐渐改善。1周前患者于家中出现上述症状再发且较前加重,同时伴有高热,体温最高达39℃,热前无明显寒战,热时伴全身多发鲜红色皮疹,热退疹消,再次急诊就诊予头孢他啶抗感染治疗后症状无明显改善,且逐渐出现神志模糊,瞻望,现为求进一步诊治继续就诊我科。病程中,患者睡眠饮食差,大小便基本正常。个人史:患者平素身体健康,现从事废品回收工作,无化学性物质、放射性物质、有毒物质接触史,无吸毒史,吸烟史40年,平均3-5支/日,已戒烟5年。
入院时查体:
急性面容,呼吸急促,神志模糊,瞻望,四肢散在皮疹,浅表淋巴结无肿大,双肺呼吸音稍增粗,未闻及明显干湿性啰音,心律齐,无杂音,腹软,无压痛及反跳痛,双下肢不浮肿。
入院时辅助检查:
急诊头胸腹盆CT平扫提示:头颅未见明显异常密度;两肺多发片状及斑片状稍高密度影,边界欠清,密度不均,左肺上叶舌支部分不张伴实变,其内可见空气支气管征象,纵膈居中,可见肿大淋巴结(图1);肝内低密度灶;前列腺钙化灶。

图1:患者2020-6-4日 胸部CT表现
2020-06-05 血常规:白细胞计数7x10^9/L,中性比92.1%,红细胞计数4.08x10^12/L,血红蛋白125g/L,血小板计数89x10^9/L;
2020-06-05 生化:乳酸脱氢酶256U/L,超敏C-反应蛋白 63.21g/L,降钙素原0.57ng/ml,白介素6 74.57pg/ml;
2020-06-08 血气分析:PH 7.461,PCO2 42.1mmHg,PO2 52.4mmHg;
患者入院后积极予以哌拉西林他唑巴坦联合左氧氟沙星抗感染、琥珀氢考抗渗出,考虑发病前从事废品回收工作,易合并特殊病原体感染,同时加用伏立康唑抗真菌,治疗3天后,患者症状无明显改善,体温仍然控制不佳,并于2020-06-07日出现II型呼衰伴意识障碍。
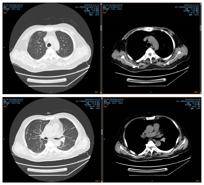
经科室讨论后,考虑患者目前重症肺炎诊断明确,且为废品回收人员,易合并多种病原体感染,遂调整抗生素为美罗培南、利奈唑胺联合伏立康唑加强抗感染,针对患者呼吸衰竭,积极予以无创呼吸机及高流量湿化治疗仪交替辅助通气,后患者体温逐渐降至正常,一般情况好转,复查胸部CT(图2)提示两肺病灶较前稍有吸收。

图2 患者治疗后好转CT表现
患者中年男性,既往体键,发病前无明显诱因,怎么会突然出现如此重症的感染,是否还合并有其他问题?为了进一步探寻感染背后可能存在诱因,于2020-06-24日给患者行了CT引导下肺穿刺活检,活检病理提示肺泡腔内坏死渗出物,局部肺泡上皮增生,病理标本进一步送至外院会诊(图3),结果提示肺泡腔内可见嗜伊红物质沉积,GMS(-),PAS(+),结合特殊染色及组织学改变可符合肺泡蛋白沉积症。

图3肺穿刺活检
讨论:
肺泡蛋白沉积症(pulmonary alveolar proteinosis,简称PAP),又称Rosen-Castle-man-Liebow综合征,是一种少见的肺部弥漫性疾病,最早于1958年由Rosen等人首次报道,组织学上以肺泡和细支气管腔内充满PAS染色阳性,来自肺的富磷脂蛋白质物质为特征。全球发病率约为每年百万分之0.36,好发于青中年,男性发病约3倍于女性。病因未明,可能与免疫功能障碍(如胸腺萎缩、免疫缺损、淋巴细胞减少等)有关。粉尘尤以接触矽尘的动物可引起PAP,故认为可能是对某些刺激物的非特异反应,导致肺泡巨噬细胞分解,产生PAS阳性蛋白质。本病例中,患者从事废品收购工作,工作环境较差,可能存在接触无机粉尘等物质后刺激II型肺泡上皮细胞分泌亢进、过度复制或不能再吸收肺泡表面活性物质,进而发生PAP。
PAP发病隐匿,体征通常不明显,伴有严重缺氧时常有杵状指、发绀和视网膜点状出血,静息状态下呼吸可平稳,呼吸音往往正常。如果闻及明显的啰音,应考虑合并继发感染的可能。约20%患者呈急性起病,主要表现为活动后气短,有些PAP患者可有轻微的咳嗽,或有白粘痰,继发感染后痰量增多,可呈脓性。胸痛和咯血相当少见,但可有乏力、不适、体重下降和食欲减退。大部分PAP病例无发热,如有发热,则提示继发肺部感染,或该病例并不是PAP。本例中,患者慢性起病,于我科治疗前即出现有胸闷症状,于我科住院时伴有高热,后经积极抗感染治疗后症状得以改善,考虑为在PAP的基础上继发感染。
PAP影像学表现尤为特殊,两肺可产生较为均一一致的改变,通常肺门周围的浸润较为显著,胸片上通常表现为双侧肺对称的弥漫细小的羽毛状或结节状浸润影,并可见支气管充气征,以肺基底部表现为著。高分辨CT上表现为双肺斑片状阴影,病变部位与周围正常肺组织形成鲜明的对照,形成一种“地图”状,小叶间隙和间隔可有典型的增厚,表现为多角形态,称之为“疯狂的堆砌”(crazy-paving)[1]。
诊断PAP主要依靠支气管肺泡灌洗或经支气管肺活检,目前也可行CT引导下肺穿刺活检获取组织。经肺段支气管肺泡灌洗所获得的灌洗液,通常呈“牛奶状”,病变程度较轻时,灌洗液可仅表现为浑浊。
针对PAP的治疗,目前认为全肺灌洗是唯一有效的治疗方式。全肺灌洗术,即通过机械性冲洗,去除积聚于肺泡腔内的磷脂物质,使肺泡功能得以恢复,被认为是对进展患者的最佳治疗方式,但是技术要求高、费用高[2]。本例患者在确诊后再次返回我科复诊,复查胸部CT提示左肺病灶较前吸收,右肺仍有多发斑片状阴影,患者有活动后胸闷,通过评估相关心肺功能,排除禁忌后,于我科继续予以全麻下右全肺灌洗(图4),灌洗术后复查胸部CT提示右肺病灶较前部分吸收(图5),患者胸闷症状改善。

图4 术中灌洗液(由左到右依次为第1到第5次灌洗液)

图5 灌洗后胸部CT表现
该病例中,患者以感染为首发症状,在感染症状控制以后进一步行穿刺活检,才最终找到问题所在。通过对该病例的复习,我们全面认识了肺泡蛋白沉积症,也希望给临床医生在遇到类似患者时可以有所启发。
参考文献:
[1]Stéphane Jouneau,Cédric Ménard,Mathieu Lederlin. Pulmonary alveolar proteinosis[J]. Respirology,2020,25(8).
[2]冷法宁,顾鹏.肺泡蛋白沉积症一例[J].中华肺部疾病杂志(电子版),2020,13(01):109-111.

(本文由文章作者范晓云教授供稿授权发布,中国医学论坛报社博才编辑整理,如需转载,请联系授权)
查看更多