壹生大学

壹生身份认证协议书

本项目是由壹生提供的专业性学术分享,仅面向医疗卫生专业人士。我们将收集您是否是医疗卫生专业人士的信息,仅用于资格认证,不会用于其他用途。壹生作为平台及平台数据的运营者和负责方,负责平台和本专区及用户相关信息搜集和使用的合规和保护。
本协议书仅为了向您说明个人相关信息处理目的,向您单独征求的同意,您已签署的壹生平台《壹生用户服务协议》和《壹生隐私政策》,详见链接:
壹生用户服务协议:
https://apps.medtrib.cn/html/serviceAgreement.html
壹生隐私政策:
https://apps.medtrib.cn/html/p.html
如果您是医疗卫生专业人士,且点击了“同意”,表明您作为壹生的注册用户已授权壹生平台收集您是否是医疗卫生专业人士的信息,可以使用本项服务。
如果您不是医疗卫生专业人士或不同意本说明,请勿点击“同意”,因为本项服务仅面向医疗卫生人士,以及专业性、合规性要求等因素,您将无法使用本项服务。

同意

拒绝

同意

拒绝

知情同意书

同意

不同意并跳过

工作人员正在审核中,
请您耐心等待
审核未通过
重新提交
完善信息
{{ item.question }}
确定
收集问题
{{ item.question }}
确定
您已通过HCP身份认证和信息审核
(
5
s)

肉芽肿性多血管炎患者的诊治过程及总结思考|今日病例

2024-06-22作者:论坛报小璐资讯
非原创

患者基本信息

• 患者,男,58岁

• 主诉:反复发热、咳嗽、咳痰10天

• 入院时间:2021-06-30


现病史


入院前10天无明显诱因出现发热,体温最高达39.9℃,多于午后出现,伴畏冷、寒战,伴咳嗽、咳黄脓痰,伴头痛,偶有肌肉酸痛、腹胀,就诊当地医院,查“胸部CT示左肺下叶脊柱旁团块影,考虑肺隔离症并感染;双肺多发结节影;双肺肺气肿;血常规:WBC 8.6×109/l,NE 87.3%;PCT正常;肺炎支原体抗体1:80”,予“舒普深(6.24-6.28)”抗感染后仍反复发热,体温最高仍达39.5℃,遂转诊我院。


图片

图片


图片

图片

6.25日当地胸部而增强CT


• 查血常规:WBC 10.4×109/L、NE 83.6%;PCT阴性;

•胸部增强CT(6.29)示双肺多发病变,以左肺下叶为著,部分包绕左肺门,为肺黏液腺癌不能排除,炎性病变待除;纵隔内多发小及稍大淋巴结;左侧胸膜增厚,左侧胸腔少量积液”,考虑“肺部感染”,予莫西沙星(6.30)静滴抗感染,上述症状未见好转。今为进一步治疗,以“肺部感染”收住入院。

图片

图片

图片

6.25

图片

图片


图片

图片



6.29


既往史


2年前于福清市医院诊断为“肺隔离症”,平素无明显呼吸系症状;自诉6月前外院复查胸部CT示较前相仿。


个人史


• 吸烟30年,每天约15支,戒烟2年

• 无饮酒史

• 水泥工职业


查体


T:38.2℃,P:82次/分,R:21次/分,BP:98/64mmHg,SpO2 98%(FiO2 21%),神志清楚,全身皮肤黏膜无皮疹、焦痂、破溃,全身浅表淋巴结未触及肿大。左下肺呼吸音稍低,右肺呼吸音清,未闻及干湿啰音。心腹部查体无异常。双下肢无浮肿


辅助检查


1

炎症指标:血常规:白细胞计数 10.3×109/L,中性分叶核 83.2%,淋巴细胞 9.7%,嗜酸细胞 1.4%,血红蛋白 111g/L,血小板计数 362×109/L;PCT正常;CRP 258mg/l;ESR 79mm/h


2

肺炎支原体IgG 阳性(+), 肺炎支原体IgM 阴性(-)


3

肿瘤标志物:CEA、NSE、PRO-GRP、SCC、AFP、PSA均正常


4

尿常规:尿蛋白2+,隐血(-)


5

生化:白蛋白 27g/L,余大致正常;凝血:纤维蛋白原 8.24g/L,纤维蛋白(原)降解产物 6.7ug/ml,D-二聚体 3.68mg/L


6

肌钙蛋白I、BNP正常


7

腹部彩超:肝内无回声,考虑囊肿可能。右肾多发囊肿。前列腺增生伴结石。左侧胸膜腔所见部分积液


8

心脏彩超:主动脉窦部增宽;左室舒张功能降低,收缩功能未见明显异常



诊治经过


• 入院后予厄他培南(6.30起)+米诺环素(6.30)/ 莫西沙星(7.1-7.5)

• 7.2支气管镜检查:

图片

气管     左主支气管  左下叶基底段开口 左下叶背段


• BALF涂片见G+球菌;酵母样真菌少许;BALF NGS阴性

• 抗酸染色均阴性、TB-DNA/RNA阴性

• BALF GM阴性

2012年

DISCUSS

讨论一


• 患者仍有高热(抗感染6天),体温高峰未下降

• 感染性病变?非感染性病变?

• 抗生素方案如何调整?


初始治疗失败诊疗流程


图片


诊治经过


• 7.6下午行B超引导下左侧胸腔置管、左下肺病灶抽吸(少许类血性液体)+活检

共引流出暗红色胸腔积液约550ml

胸腔积液常规:白细胞 2293.0×106/L,单核细胞百分比 39.6%,多核细胞百分比 60.4%

胸腔积液生化:总蛋白 37g/L,白蛋白 16g/L,葡萄糖 6.80mmol/l,乳  酸脱氢酶 195U/L,腺苷脱氨酶 4.52U/L

胸腔积液CEA 阴性

送胸腔积液细菌真菌涂片及培养

图片

• 乐松60mg Q8H对症,每日均有大量出汗

• 7.5 停拜复乐,改厄他培南联合斯沃,当天仍有高热,39.5℃

• 7.6 BALF培养:热带念珠菌(少许)

• 7.6 联合氟康唑 0.4g QD

• 血G试验、GM试验阴性

• 体液免疫:补体C3 0.869g/l(0.9-1.8),余正常

• 细胞免疫:CD4细胞367个/ul

• 自身免疫全套:抗核抗体1:100阳性,余阴性;抗CCP抗体阴性

• ANCA:PR3-ANCA(+)、MPO-ANCA、抗肾小球基底膜抗体阴性

• 类风湿因子 61.8IU/mL(0-15.9IU/mL)

• 甲功三项:FT3:2.68pmol/l(3.1-6.8),TSH、FT4阴性

• 左下叶背段(病理):纤维素样炎性渗出及坏死物

• 左下叶背段(毛刷):见少量成簇的异型细胞,癌细胞待排除


体温变化


图片


治疗经过

2012年

图片

图片

2012年

DISCUSS

讨论二


•  感染性病变?

•  非感染性病变:血管炎?肿瘤性病变?


诊治经过


•  复查PR3-ANCA(+)

•  7.9再次行气管镜检查

图片

              气管                    左下叶开口               左下叶背段  


• 分泌物及BALF培养:热带念珠菌少许

• BALF GM阴性,抗酸涂片阴性

• 内前基底段、背段活检病理:急慢性炎症细胞浸润

图片

图片

• 左下肺穿刺病理回报:肺肉芽肿性多血管炎

• 诊断:肺肉芽肿性多血管炎


同时评估眼部、皮损、单神经炎等各系统无特殊表现。

治疗方案:

• 静脉甲泼尼龙40 mg qd,当天体温降至正常,停乐松

• 转风湿科治疗,继续甲强龙80mg QD抗炎,渐减量至• 美卓乐32mg qd时联合环磷酰胺600mg 每月一次

图片

2012年

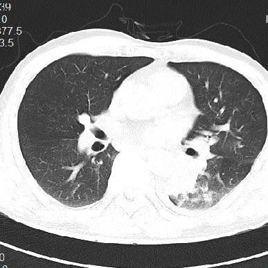
随访胸部CT如下:

图片

图片

最终诊断:肉芽肿性多血管炎(韦格纳肉芽肿)


诊疗体会

2012年

• 韦格纳肉芽肿是一种系统性、坏死性肉芽肿性血管炎,也是最常见的一种ANCA相关性血管炎,以上呼吸道(如耳、鼻窦、鼻咽、口咽)、下呼吸道(如支气管、肺)和肾脏受累为特征,也常累及周身小动脉、静脉及毛细血管。GPA是一种复杂的自身免疫性疾病,可致多系统受累,临床表现呈多样性,本例是以肺部为首发和主要表现的GPA。

• 肺部表现可能是系统性疾病的首发就诊原因,出现不能解释的其他系统表现应及早进行相关检查。

• 可通过血清学检查ANCA以及鼻窦和肺部CT扫描辅助诊断。

• GPA肺部受累,不仅表现为常见的结节、团块、空洞性病变,累及气道可表现为喉气管支气管狭窄,甚至轻至中度急性炎症伴黏膜水肿、红斑和粒度,严重急性破坏性炎症伴气道壁深部损伤。


来源 知呼小报 作者李小钦

200 评论

查看更多