查看更多
密码过期或已经不安全,请修改密码
修改密码
壹生身份认证协议书
同意
拒绝
同意
拒绝
同意
不同意并跳过
基本资料
性别:男性
年龄:56岁
首次就诊时间:2011年7月
主诉:体检发现左肝占位2月
现病史:患者2月前在当地医院体检时行彩超检查,提示左肝占位,无伴腹痛、腹胀,无畏寒发热,无呕血及黑便,无心悸气促,遂至我院门诊,拟“左肝占位”收住我院。
既往史:有慢性乙型肝炎及高血压病史多年,未规范治疗
辅助检查
实验室检查:
BCA、肝功、生化、凝血无特殊,
AFP 18.2ug/L(0-10),
HBsAg(+).
影像学检查:
腹部增强CT:肝脏左内叶结节,约2.5*2.9cm,考虑小肝癌可能性大
临床诊断:
肝细胞癌(CNLC Ⅰa期)
肝功能情况:Child-pugh A级
体力状况:PS评分 0级
病毒活性:未查
首诊治疗方案:
治疗时间:2011年8月
治疗方案:手术治疗:左半肝切除+胆囊切除术
术后病理:

术后情况:

术后复查:
AFP(术后1月):6.9ug/L
血常规、生化、肝功能、凝血机制等均无明显异常


第一次复发:

动脉期
静脉期

动脉期

静脉期

延迟期

诊断:
肝细胞肝癌
肝癌术后复发
慢性病毒性肝炎(乙型)
胆囊切除术后
高血压病
治疗:
手术治疗:2014年1月4日(术后30个月)行肝癌切除术(左尾状叶切除)
术后病理:



术后情况:
术后复查血常规、生化、凝血机制、肝功能等无明显异常。
AFP、CA19-9等无明显异常。
术后的肝功能恢复比较顺利,引流管3天拔除,1周出院
术后定期复查
(2014.01)
(2014.03)
(2014.05)
(2014.10)
血常规、生化、肝功能、肿瘤指标、CT等均无明显异常

第二次复发
复查时间:2015年5月
(第二次术后16个月)
ALT 73U/L,AST 54U/L
CA19-9 38.9U/ml
HBV-DNA 1.82*105 IU/ml



诊断:
肝细胞癌
肝癌术后复发
慢性病毒性乙型肝炎
治疗:
介入治疗:肝动脉造影及肝癌化疗栓塞术
介入治疗后复查及诊治经过
术后复查(介入治疗1月)
AFP:11.5ug/L
CA19-9: 50.8U/ml
分别进行5次介入治疗

2015.05.14

2015.06.19

2015.08.12

术后复查(2015.12.22)
AFP:70.43 ug/L
CA19-9: 57.7 U/ml

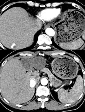
复查CT:


开始改用口服索拉非尼(多吉美)400mg/bid
服用3个月(2016.03)复查
CT: 
AFP:24.4 ug/L
CA19-9: 59.6 U/ml
靶向治疗
半年后(2016.05)复查 AFP:2769.9 ug/L CA19-9:32.5U/ml


2017.01.01



口服靶向药22个月后复查CT(2017.10.20)
AFP:10989.6 ug/L
CA19-9:60.5 U/ml



病例小结:

查看更多