查看更多
密码过期或已经不安全,请修改密码
修改密码
壹生身份认证协议书
同意
拒绝
同意
拒绝
同意
不同意并跳过
52岁中年女性,主诉发现垂体瘤14年,垂体瘤第三次术后1年。
2010年5月,患者因双眼视物模糊、溢乳就诊当地医院,检查提示垂体瘤,后转诊至我院神经外科。术前垂体核磁显示瘤体大小为2.64cm×1.77cm,激素水平评估显示泌乳素轻度升高,ACTH及皮质醇未见明显异常。同年5月,患者接受第一次内镜下经鼻蝶窦垂体瘤切除术,术后未进行药物治疗。同年10月,患者前往北京天坛医院检查,提示垂体瘤复发,建议伽马刀治疗,但患者因术后时间短拒绝,后自行停用溴隐亭。
2013年-2018年4月患者未进行复查。2018年4月,患者再次就诊于我院神经外科,此时出现满月脸、水牛背、腹部紫纹及向心性肥胖等症状。检查发现ACTH水平升高,十点皮质醇为380.52nmol/L,垂体核磁共振提示有2.64cm×1.58cm占位,遂进行第二次内镜下经鼻蝶窦垂体瘤切除术,并给予左甲状腺素钠(优甲乐)替代治疗。
2019年4月,患者因恶心、呕吐、头晕、头痛就诊于我院普通外科,垂体核磁显示垂体有2.54cm×1.52cm的占位,提示垂体瘤复发。期间患者因甲状腺结节在外院手术,术后给予优甲乐治疗。2020年,患者因胸痛就诊当地医院,诊断为急性冠脉综合征并植入支架一枚。2022年5月,患者因胸闷、胸痛就诊我院普通外科,ACTH及皮质醇水平升高,节律消失,24小时尿游离皮质醇增高,考虑为库欣病,建议第三次手术,但患者未进一步就诊神经外科。
2023年3月,患者首次就诊于我院内分泌科,激素水平测定显示ACTH升高,皮质醇节律消失,小剂量及大剂量地塞米松均未被抑制,24小时尿游离皮质醇升高。结合影像学检查,考虑为侵袭性垂体瘤术后ACTH依赖性库欣综合征,并评估出患者存在血糖、血压、骨代谢及BMI等多方面异常。4月,患者就诊北京协和医院,ACTH及皮质醇水平进一步升高,随后进行第三次经鼻蝶窦垂体瘤切除术,术后给予氢化可的松及优甲乐替代治疗。
既往低血钾,最低2.88mmol/L;三次内镜下经鼻蝶窦垂体瘤切除术;余无特殊。
查体:T 36.5℃,P 85次/分,R 18次/分,BP 161/90mmHg,体重83kg,身高160cm,BMI 32,有满月脸、水牛背、向心性肥胖、腹部及大腿处紫纹。
实验室检查:

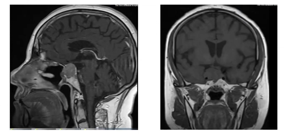
2022年5月垂体核磁平扫及增强:结合病史垂体瘤术后改变,现垂体右缘异常强化灶,与2019.4.15前片相比病变体积较前增大,请结合临床随诊。(增强扫描鞍区右缘可见稍低强化结节,矢状位测其范围约2.22cm×2.17cm, 右侧颈内动脉海绵窦段被包绕,垂体柄向左侧偏移,视交叉位置正常;左侧颈内动脉海绵窦段未见明显异常)。

2023年3月垂体核磁平扫及增强:1.结合病史垂体瘤术后改变,现垂体右缘异常强化灶,与2022.5.26前片相比病变体积较前增大。管状位测其大小约2.55cm×2.12cm,右侧颈内动脉海绵窦段被包绕。

2024年10月垂体核磁平扫及增强:鼻窦及鞍底骨质信号不连续,术区结构紊乱,呈术后改变,正常垂体形态消失,垂体右缘可见片状稍长T1混杂长T2信号,垂体柄向左侧偏移,增强扫描垂体右缘可见片状未强化区,冠状位较大层面测其大小约为0.81cm×0.67cm。

第一次术后病理提示垂体腺瘤,ACTH阳性,泌乳素阴性。

第二次术后病理显示ACTH阳性,Ki-67为3%,泌乳素阴性。第三次北京协和医院病理报告提示垂体腺瘤,属于TPIT谱的神经内分泌肿瘤、ACTH细胞瘤,ACTH、TPIT阳性,Ki-67为5%。

(1)ACTH依赖性库欣综合征
(2)静止性性ACTH大腺瘤(转化型)
(3)垂体ACTH侵袭性大腺瘤3次术后
静止性促肾上腺皮质激素腺瘤(Silent corticotroph adenoma,SCA)主要表现为无功能性腺瘤,初期无库欣综合征的生化及临床表现,主要通过病理检查提示ACTH阳性或垂体限制性转录因子阳性,来证明其属于促肾上腺皮质激素谱,占无功能性腺瘤的20%,复发率相对较高,诊断依赖术后病理提示ACTH免疫染色阳性或垂体限制性转录因子的表达。最新研究显示,25%-40%的病例存在海绵窦浸润、术前垂体功能减退、新发垂体前叶功能减退以及垂体瘤复发等情况。
治疗主要以手术切除为主,但静止性ACTH腺瘤复发率较高,57%的患者会多次复发,术后难治性也更高。因此,术后需要定期复查影像学生化指标,建议尽早进行放疗,伽马刀治疗或细胞毒性化疗可能也有一定作用。
本例患者初始诊断为无功能垂体腺瘤,术后病理表现为ACTH免疫组织化学染色阳性,符合SCA的诊断,继而在随访中转为功能性库欣病。有研究发现所有转化为功能性SCA的病例均为大腺瘤,一旦转换为显性库欣病,高皮质醇血症的程度比一般库欣病更加严重,肿瘤侵袭性明显,且易复发,在转换为库欣病的时候,病理上的Ki-67指数更高。
少数患者对放疗有反应,替莫唑胺也可能是治疗难治性功能性SCA的一种有前景的治疗方法。对于无功能性的 SCA 需要长期随访,警惕部分病例可能转化为显性库欣病。
查看更多
专家点评
本例涉及一例术前表现为无功能性、术后病理提示ACTH免疫组化阳性的静止性促肾上腺皮质激素腺瘤。该类型垂体腺瘤临床少见,患者在术前评估中无皮质醇增多症的典型症状与体征,因此早期诊断存在较大困难,也导致围手术期管理面临挑战。通过本例,我们获得以下重要启示:
1、并非所有术前表现为无功能的垂体腺瘤均不具备激素分泌潜能。部分静止性ACTH腺瘤可能在术后或长期随访中转变为功能性肿瘤,或于术后才显现激素活性。
2、术后仔细的免疫组化分析是识别静止型腺瘤的关键。对于术后病理提示ACTH等激素阳性的患者,应建立规律的长期随访计划,包括定期复查相关激素水平及影像学评估,以便及时识别肿瘤功能状态的转变。
3、对于术前评估未发现激素过量表现、但疑似垂体腺瘤的患者,需在鉴别诊断中纳入静止性ACTH腺瘤的可能性,并在围手术期保持警惕,做好相应的激素监测与支持准备。