查看更多
密码过期或已经不安全,请修改密码
修改密码
壹生身份认证协议书
同意
拒绝
同意
拒绝
同意
不同意并跳过
前文回顾:
病例实践
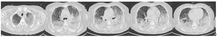
患者,女,52岁,胸闷、气喘2周,加重伴呼吸困难20小时,于2020年3月25日入院。“皮肌炎”病史5个月,规律口服甲泼尼龙、环孢素。胸部CT可见弥漫磨玻璃改变,白肺。第一时间送BALF mNGS,结果回报耶氏肺孢子菌(PCP)(序列数27115),人类疱疹病毒5型(CMV)(序列数14472),曲霉(序列数3),涂片查到耶氏肺孢子菌,病原学最终诊断:PCP+CMV+曲霉混合感染。给予磺胺+卡泊芬净+更昔洛韦联合治疗,并予以VV-ECMO、间歇正压通气+俯卧位通气(IPPV+PPV),最终患者痊愈出院。

治疗前胸部CT


治疗后胸部CT
患者,男,56岁;发热5天,加重2小时余,2020年4月26日入我院EICU,4月29日转入RICU。8年前于外院诊断:可疑系统性红斑狼疮,泼尼松10 mg qd,吗替麦考酚酯片2片bid。检查:Na 124.7 mmol/L,Cr 350 μmol/L,PCT>100 ng/ml,IL-6 3573 pg/ml;氧合指数108 mmHg。胸部CT提示肺部大片实变,脏器功能受损。BALF mNGS(序列数17107)及PCR均提示军团菌,给予莫西沙星抗感染及其他支持治疗[IPPV+连续性血浆滤过吸附(CPFA)],患者最终痊愈出院。

治疗前后胸部CT比较
患者,男性,54岁,意识障碍1天,高热呼吸困难2小时,2021年3月22日入RICU。多脏器功能受损,入院考虑严重社区获得性肺炎(SCAP),急性呼吸窘迫综合征(ARDS),脓毒血症,脓毒性休克MODS。入科后给予脏器支持,BALF mNGS回报肺炎克雷伯杆菌(序列数19000),肝脓肿穿刺液培养肺炎克雷伯杆菌,血培养、BALF培养、脑脊液培养均回报肺炎克雷伯杆菌,考虑为高毒力肺炎克雷伯杆菌感染入血,并引起多器官感染。给予美罗培南针2.0 q8h抗感染,抗炎,CPFA、IPPV+VAV-ECMO+PPV脏器保护及支持,营养治疗。患者最终成功撤离ECMO并转至普通病房。


患者,女性,63岁,2021年5月27日入呼吸科。主诉:咳嗽、发热1周;热峰40.0 ℃,“右乳癌术后”3年余,骨转移1年余,1月开始“阿贝西利”化疗,哌拉西林他唑巴坦4.5 g q8h抗感染。因呼吸困难加重于5月30日住RICU。胸部CT提示左肺大片实变。BALF mNGS回报鹦鹉热衣原体(序列数137)。追问病史:家中饲养鹦鹉4只。诊断为鹦鹉热衣原体肺炎,给予美罗培南针→美罗培南针+莫西沙星针→多西环素胶囊(院外)治疗,患者好转。

患者,男,30岁,代主诉:高处坠落致腰背部疼痛18小时,2021年4月18日入院。“高血压”多年,未予特殊治疗。入院诊断:重型闭合性颅脑损伤,脑挫裂伤,蛛网膜下腔出血等。术后发热,予腰穿,留取脑脊液监测及mNGS,结果提示人葡萄球菌(序列数3),予以美罗培南(2.0 g q8h)+利奈唑胺(0.6 g q12h),腰大池持续引流,最终患者预后良好。
小结
当前,重症感染性疾病救治仍面临着巨大挑战。对于疑难(不明原因发热或感染、病因待查)、危重(重症肺炎、脓毒症)、特殊(免疫抑制)患者的诊断,mNGS具有全面、准确、快速的优势,在疑难重症感染性疾病的精准诊治中具有重要价值。但当前阶段,mNGS结果仍不能单独作为病原学确诊或排除的依据,需要结合临床及传统病原学检测结果综合判断。未来,在耐药基因/耐药表型、定植/感染的区分、医疗成本等方面仍需要进一步优化。
作者:董睿,高延秋
来源:重症肺言


查看更多