查看更多
密码过期或已经不安全,请修改密码
修改密码
壹生身份认证协议书
同意
拒绝
同意
拒绝
同意
不同意并跳过
71岁老年男性,主诉畏寒发热3天,神志不清5小时。
患者3天前无明显诱因出现畏寒发热,体温达38.7℃,伴纳差、头晕,无寒颤、皮疹、咳嗽咳痰等症状,未予重视及就诊。入院5小时前,家属发现患者神志不清,无自主反应,无口吐白沫、四肢抽搐及大小便失禁,遂拨打120送至我院急诊。
确诊心房颤动、心功能不全,长期服用阿司匹林抗血小板、阿托伐他汀调脂、美托洛尔改善心肌重构。
1月前行导管心脏射频消融术,术后改用利伐沙班,停用阿司匹林,其余药物未调整。
4年前确诊高血压,长期服用依那普利控制血压,血压控制稳定。
急诊时,患者体温40.1℃,血压94/60mmHg,心率154次/分,呼吸44次/分,伴明显鼾声。
入院后复测体温39.1℃,脉搏149次/分,呼吸20次/分,血压93/69mmHg。查体:患者神志不清,气管插管呼吸机支持通气,SpO₂ 97%,双侧瞳孔等大等圆,对光反射灵敏,两侧呼吸音粗,可闻及少许湿啰音,心脏听诊未闻及明显病理性杂音,腹部及双下肢无水肿,查体不配合。
实验室检查:血气乳酸6.6mmol/L,提示微循环灌注不足;血常规示白细胞和中性粒细胞百分比正常,C反应蛋白轻度升高,D-二聚体96000μg/L明显升高,肌酐194μmol/L提示急性肾功能不全,B型钠尿肽(BNP)和肌钙蛋白I(TnI)正常。
复查血常规,白细胞上升到4×10⁹/L,中性粒细胞百分比94.3%,CRP和降钙素原明显升高,肌钙蛋白3.307ng/mL提示心肌损伤,肌酐186μmol/L。入院后血NGS提示变黑普雷沃菌,血培养提示缓症链球菌和唾液链球菌。腰穿结果显示,脑脊液压力240mmH₂O,呈白色透明状,白细胞14个/μL,蛋白68.4mg/dL,脑脊液NGS阴性,肿瘤标志物和甲功正常。

头颅CT:两侧额顶叶深部基底节区缺血灶,胸腹部CT未见明显炎性改变,头颅CTA示颅内动脉粥样硬化,左侧颈内动脉眼段少许钙化斑,局部管腔轻度狭窄,未见明显栓塞性改变。


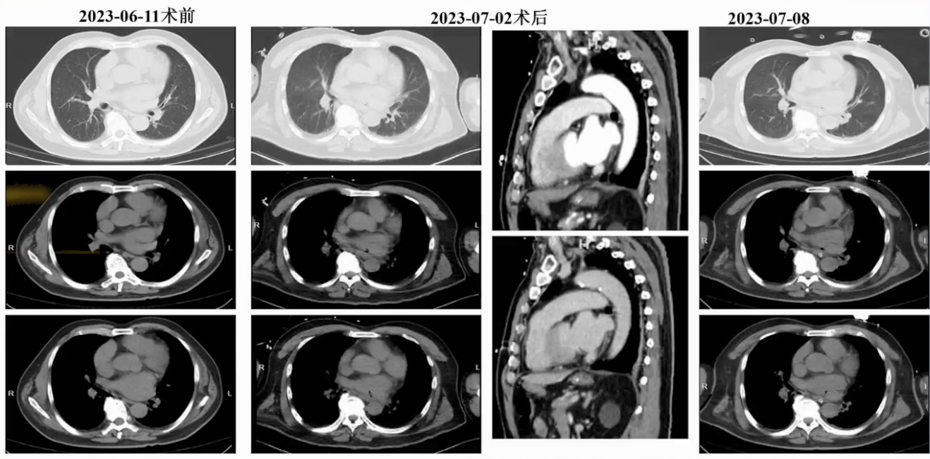
心超复查显示双房增大,二尖瓣中度反流,三尖瓣轻度反流,房间隔可见细小左向右分流,主动脉瓣可见钙化、中度反流。头颅CT平扫示左侧小脑半球和左侧额顶叶缺血梗死灶可能,胸腹部CT未见明显炎性和栓塞病灶。此时,颅内栓塞来源(房颤血栓或心内膜炎菌栓)尚无法确定,因心内膜炎诊断不明确。
入院第5天复查,头颅CT发现两侧额叶基底节区和左侧小脑多发梗死灶,较前明显进展;床旁心脏超声发现在二尖瓣有5毫米赘生物随心动周期飘动,考虑颅内栓塞是心内膜炎感染引起的菌栓脱落所致。
感染性心内膜炎
经验性使用奥马环素广谱抗感染,培养阳性后改用美罗培南联合利奈唑胺,炎症指标曾一度好转,但头颅栓塞持续进展,最终药物治疗无效不幸离世。





1、多脏器功能衰竭;2、脓毒性休克;3、心房食道瘘(房颤射频消融术后); 4、感染性心内膜炎;5、颅内占位性病变(脓毒性栓塞);6、心房颤动;7、高血压
根据2023年修订版杜克(Duke)感染性心内膜炎标准,明确的心内膜炎诊断包括病理学标准和临床诊断标准。
(1)病理学标准
(2)临床诊断标准


本病例患者未做病理,临床诊断方面,满足微生物主要诊断标准(双管双套血培养分离到少见的引起感染性心内膜炎的微生物)、影像学诊断标准(发现瓣膜赘生物)以及七项次要标准中的发热和血管现象中的栓塞,满足两项主要诊断标准,支持感染性心内膜炎诊断。
判断血流感染的来源:
2023.7.7复查床旁心超发现可疑房间隔缺损,结合患者1月前行导管心脏射频消融术,一些导管消融术需穿过房间隔放置鞘管/导管,术后9-12个月5%-20%的患者可能持续存在医源性房间隔缺损。


查看更多