壹生大学

壹生身份认证协议书

本项目是由壹生提供的专业性学术分享,仅面向医疗卫生专业人士。我们将收集您是否是医疗卫生专业人士的信息,仅用于资格认证,不会用于其他用途。壹生作为平台及平台数据的运营者和负责方,负责平台和本专区及用户相关信息搜集和使用的合规和保护。
本协议书仅为了向您说明个人相关信息处理目的,向您单独征求的同意,您已签署的壹生平台《壹生用户服务协议》和《壹生隐私政策》,详见链接:
壹生用户服务协议:
https://apps.medtrib.cn/html/serviceAgreement.html
壹生隐私政策:
https://apps.medtrib.cn/html/p.html
如果您是医疗卫生专业人士,且点击了“同意”,表明您作为壹生的注册用户已授权壹生平台收集您是否是医疗卫生专业人士的信息,可以使用本项服务。
如果您不是医疗卫生专业人士或不同意本说明,请勿点击“同意”,因为本项服务仅面向医疗卫生人士,以及专业性、合规性要求等因素,您将无法使用本项服务。

同意

拒绝

同意

拒绝

知情同意书

同意

不同意并跳过

工作人员正在审核中,
请您耐心等待
审核未通过
重新提交
完善信息
{{ item.question }}
确定
收集问题
{{ item.question }}
确定
您已通过HCP身份认证和信息审核
(
5
s)

他山之石丨长海手术案例分享之副神经节瘤合并单心室单心房、部分内脏转位一例

2024-01-10作者:CMT琳资讯
原创

副神经节瘤是一种罕见的神经内分泌肿瘤,其中部分种类会过度分泌儿茶酚胺,造成严重而顽固的高血压,引发严重心脑血管疾病,还可在手术处理肿瘤过程中导致血压剧烈波动,危及生命。


单心房单心室是一种较为少见的先天性心脏病,是指心房和心室之间只有一个心室腔。其病因尚不明确,可能与胚胎发育异常、遗传等因素有关。单心房单心室的患者可能会出现胸闷、气短、乏力、发绀等不适症状,还可能会伴有心律失常、心力衰竭等情况。


内脏转位是一种很少见的人体内脏解剖变异,分为部分内脏转位与完全内脏转位。完全内脏转位是指心脏、肺部、横膈及腹腔脏器等全部内脏呈180°转位,因此又被称为“镜面人”,其发生率0.5/10000~2/10000。部分内脏转位患者多表现为伴有其他复杂畸形。在内脏转位患者中,全内脏转位占86%,部分内脏转位占14%。此患者表现为膈肌以下内脏器官转位的部分转位,更为罕见。


现总结报告一例副神经节瘤合并单心室单心房、部分内脏转位病例。



病例详情


病史资料







患者于4年前体检行腹部CT检查发现腹膜后占位考虑间叶组织肿瘤(良性),大小约3.6*3.5 cm,考虑异位嗜铬细胞瘤可能,伴轻度血压升高,患者辗转国内顶级医院就诊,均因病情复杂,手术风险大,建议保守治疗,每日口服α受体阻滞剂药物治疗。


2022年8月患者无明显诱因出现阵发性心悸,血压高至测不出,后又伴发低血压,最低80/50 mmHg,经休息后缓解,2023年1月自述因高血压伴昏迷、高血钾在苏州大学附属第一医院抢救,高敏肌钙蛋白升高至38.61 pg/ml,予降压治疗后好转。今为进一步手术治疗来我院就诊,门诊以“副神经节瘤、单心室单心房、内脏转位、继发性高血压”收入院。


体格检查







全身皮肤发绀,腹软,无压痛、反跳痛,肝脾肋弓下未触及,肿物未触及。活动明显受限,血氧饱和度70%。


既往史







20年前于国外行复杂先天性心脏双侧双向Glenn手术,手术顺利,确诊继发性高血压4年余,口服α受体阻滞剂药物。否认肝炎、结核、传染病史,否认糖尿病史,否认外伤史,否认输血史,否认食物、药物过敏史,预防接种史不详。


辅助检查







肾上腺髓质断层显像+SPECT/CT(2023-7-21,上海交通大学医学院附属瑞金医院,301620115):1. 上腹部腹膜后(腹主动脉右侧)占位,MIBG摄取增高,结合病史考虑副神经节瘤可能;2. 腹膜后淋巴结显示,未见明显MIBG摄取;3. 全身显像其余部位未见明显异常摄取灶。


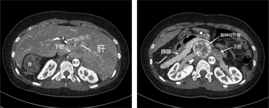
全腹增强CT (2023-6-13,苏州大学附属第一医院,2151315):后腹膜上位53 mm*38 mm,考虑异位嗜铬细胞瘤;肝、胰腺、胃及下腔静脉反位。


全主动脉CT增强造影(2023-10-17,上海长海医院,ZH231017CT08035):心血管术后改变,右侧肺动静脉瘘可能,升主动脉瘤;右肺及左上肺渗出,淤血可能;腹膜后结节,副神经节瘤可能大;胃腔、胰腺大部分位于右上腹(镜像反位);甲状腺右叶结节。


去甲肾上腺素:6221.7 pg/ml(参考值19~121  pg/ml)。


肾上腺素:71 pg/ml(参考值 14~90 pg/ml)。



影像分析







图1 二维增强CT影像


图2 三维立体成像



手术难点1


肝、胰腺、胃、十二指肠及下腔静脉反位。胰腺后方肿瘤通常采用kocher切口,将胰头及十二指肠翻向左侧,可充分暴露肿瘤及下腔静脉,但此患者腹腔脏器转位,且解剖结构并不是简单的镜像,如十二指肠降段不是在胰头左侧,而是在胰头后方,不但无法采用传统kocher切口,亦无法采用“反kocher切口”,术中操作具有反直觉、反习惯的特点,需要边手术边摸索解剖结构,易误伤胰腺、十二指肠及下腔静脉,造成胰瘘、肠瘘及大出血,危及生命,造成严重的术后并发症。




应对策略1

术前完善腹腔增强CT及三维重建,深入研究二维及三维图像,在脑中构建器官及大血管走形的解剖图像,通过这种“认知融合”制定流程化的手术方案,并预估术中可能出现的特殊情况,设计好预案,如十二指肠破裂,可能要行胰十二指肠切除。术中操作轻柔,以钝性分离为主,尽可能避免损伤胰腺、十二指肠及下腔静脉。



手术难点2


副神经节瘤为富血供肿瘤,周围大量迂曲扩张血管,术野可出现广泛渗血,对术中辨认解剖结构带来巨大挑战。




应对策略2

触碰及剥离肿瘤过程中,与麻醉医生做好沟通,尽可能保证术中血压稳定,避免因血压过高导致术野渗血增多。应用电动吸引器、连发钛夹增加手术效率,应用奥尼拉钩充分暴露术野,提前结扎粗大血管。



手术难点3


副神经节瘤,术中血压波动大。副神经节瘤内储藏大量儿茶酚胺类激素,此病患血去甲变肾上腺素数值是正常人上限的60倍,术中触碰挤压肿瘤过程中,大量儿茶酚胺类激素入血,会导致血压骤然升高,造成术野渗血、心衰、脑出血。肿瘤切除后,血压会骤降,导致休克、心律失常。




应对策略3

麻醉团队组织术前病例讨论,制定了一套个性化的麻醉方案,并预判术中可能出现的各种危急情况,全力做好充分准备。药物扩张血管,容量相对不足所致,及时通过补充液体和使用缩血管药物使血压逐步回升。外科医生触碰肿瘤迅速启动降压方案,在肿瘤将要完整切除时,调整血管活性药物,纠正容量相对不足,及时通过补充液体和使用缩血管药物使血压逐步回升。



手术难点4


单心房、单心室,Glenn术后,血氧分压低,心肺功能差。患者受严重先心病影响,虽然已做手术治疗,但日常血氧饱和度只能保持在70%左右,术前动脉血气分析显示氧分压只有40 mmHg,相当于正常人静脉血氧分压水平。




应对策略4

深静脉置管在超声引导下进行,避免对复杂先心手术吻合口造成影响。事先留置了硬膜外导管用于术后镇痛,可让患者尽早下床活动,预防肺部感染及深静脉血栓发生。




手术过程



患者仰卧,全麻插管后,消毒铺巾,贴手术膜。取剑突下腹正中切口,长约12 cm,依次切开腹壁各层,进入腹腔。

打开肝结肠韧带,将横结肠向下推,找到肝十二指肠韧带,探查辨认门静脉及肝总动脉,将肝十二指肠韧带向右上方牵拉开,暴露胰腺。

沿胰腺左侧缘小心游离,将胰头向右侧翻开,暴露其后方肿物,探查肿物大小约5.5 cm*4 cm,质软,周围大量迂曲扩张血管。

剥离肿物四周,结扎并离断肿物四周迂曲扩张血管,注意保护其左侧下腔静脉及后方腹主动脉,尝试成功完整剥离肿物并切除肿物送病理。


术后标本图


检查术野,彻底止血,渗血较多处放置止血材料,3-0可吸收线连续缝合结肠系膜缺损,于右侧腹腔留置十字花引流管一根从右侧腹壁戳孔引出并固定,接引流袋,清点器械腹纱无误后逐层缝合关腹术毕。


左划看图:肿瘤切除后术野


手术顺利,麻醉满意,术中出血约300 ml,未输血,患者转入ICU病房。


术后情况

患者ICU监护3天后安返病房,予补液、营养支持治疗,恢复良好,术后第5天出院回家,术后1月门诊随访,血去甲肾上腺素恢复正常,高血压、心悸等症状明显改善,未出现血压异常升高,心率增快情况,血常规、肝肾功能正常,复查腹部CT术区未见明显异常。






病例经验总结

01

手术指征:副神经节瘤大量分泌儿茶酚胺类激素,造成严重继发性高血压,已出现晕厥两次,外加既往复杂先心病病史,基础心肺功能差,血氧低,需手术挽救患者生命。

02

肿瘤可切除性的判断依据:副神经节瘤周围大量扩张迂曲血管,术中血压升高,术野易广泛渗血,对于辨认解剖结构带来困难。术前影像判断肿瘤与胰腺、十二指肠关系密切,不排除联合胰十二指肠切除。

03

手术入路的选择:患者腹腔脏器、血管广泛转位,上腹正中切口,可有助于探查上腹部左右两侧器官、血管,并且肿瘤也位于上腹正中位置。

04

循环监测:触碰剥离肿瘤以及完整切除肿瘤时,注意保持血循环稳定。






专家简介



冯翔

医学博士、副教授、副主任医师

海军军医大学第一附属医院泌尿外科

门诊时间:每周二、周五上午


1994年毕业于第二军医大学(现海军军医大学)军医系,2001年获外科学博士学位。2008年入选教育部“骨干教师出国培训计划”,赴美国斯坦福大学医学中心学习1年,2011年在美国纽约大学Langone医学中心学习1个月。获军队医疗成果一等奖、教育部国家级教学成果二等奖、第二军医大学A级优秀教员、第二军医大学首届“金手术刀”奖。以第一作者在国内外发表论文30篇,主编专著3部。主攻复杂疑难的与血管关系密切的腹膜后肿瘤手术治疗累计完成腹膜后肿瘤切除术2000例。



来源丨海军军医大学第一附属医院(上海长海医院) 王沈凡

200 评论

查看更多