壹生大学

壹生身份认证协议书

本项目是由壹生提供的专业性学术分享,仅面向医疗卫生专业人士。我们将收集您是否是医疗卫生专业人士的信息,仅用于资格认证,不会用于其他用途。壹生作为平台及平台数据的运营者和负责方,负责平台和本专区及用户相关信息搜集和使用的合规和保护。
本协议书仅为了向您说明个人相关信息处理目的,向您单独征求的同意,您已签署的壹生平台《壹生用户服务协议》和《壹生隐私政策》,详见链接:
壹生用户服务协议:
https://apps.medtrib.cn/html/serviceAgreement.html
壹生隐私政策:
https://apps.medtrib.cn/html/p.html
如果您是医疗卫生专业人士,且点击了“同意”,表明您作为壹生的注册用户已授权壹生平台收集您是否是医疗卫生专业人士的信息,可以使用本项服务。
如果您不是医疗卫生专业人士或不同意本说明,请勿点击“同意”,因为本项服务仅面向医疗卫生人士,以及专业性、合规性要求等因素,您将无法使用本项服务。

同意

拒绝

同意

拒绝

知情同意书

同意

不同意并跳过

工作人员正在审核中,
请您耐心等待
审核未通过
重新提交
完善信息
{{ item.question }}
确定
收集问题
{{ item.question }}
确定
您已通过HCP身份认证和信息审核
(
5
s)

当硬皮病“突然伤肾”:一次被成功逆转的肾危象

2026-01-19作者:壹声资讯
非原创

作者:复旦大学附属中山医院 陈欣 徐夏莲

指导专家:复旦大学附属中山医院 丁小强


当硬皮病“突然伤肾”

一次被成功逆转的肾危象


系统性硬化症,俗称硬皮病,是一种累及皮肤、血管及多器官的自身免疫性疾病。


当疾病突然累及肾脏时,可能引发一种极其凶险的急症——硬皮病肾危象(SRC)。如果不能尽早识别和干预,短短几天内就可能造成不可逆的肾损伤,甚至危及生命。




什么是硬皮病肾危象?


SRC 虽然发生率不高,但进展迅猛。患者常在短时间内出现:

  1. 血压明显升高

  2. 肾功能快速恶化(尿量减少、肌酐升高)

  3. 泡沫尿、全身乏力

  4. 贫血、血小板减少,血管损伤表现




过去,人们认为SRC主要与血压异常有关。但越来越多研究发现,免疫系统异常,尤其是补体系统过度激活,可能是SRC的重要推手。部分患者甚至表现出类似罕见病——“非典型溶血性尿毒症综合征(aHUS)”的特征,即免疫介导的微血管损伤。




一个真实病例的“转机”


  • 患者:女性,54岁。

  • 长期存在弥漫性皮肤增厚,血清学检查显示抗核抗体阳性,抗纤溶蛋白(anti-fibrillarin / U3-RNP)抗体阳性——该抗体常提示病情较重,伴多器官受累。

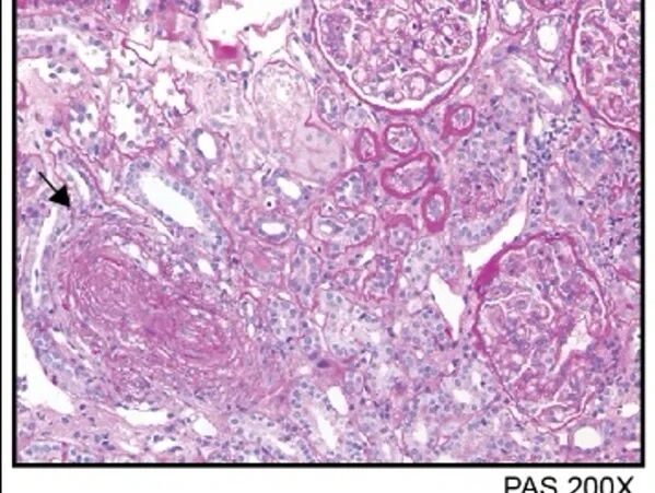
  • 尽管接受了激素与环磷酰胺治疗一年,患者皮肤病变未明显改善,反而突然出现血压升高至 175/106 mmHg、泡沫尿加重、肾功能迅速下降(CREA 162 μmol/L),同时伴有贫血、血小板下降、C3 明显降低、LDH 升高。于我科完善肾穿刺示:典型血栓性微血管病(TMA)改变,呈现“洋葱皮样”动脉损伤。此时,传统 SRC 治疗(ACEI、MMF 等)并未阻止病情进展。




图片

图片

图 肾活检


这一系列表现提示这可能并非单纯的SRC,根据血小板减少 + 溶血 + TMA + C3 降低,强烈提示可能存在TMA / aHUS。在排除 TTP、STEC-HUS 后,团队迅速启动了:补体C5抑制剂治疗。


治疗后的变化:短短一周内,贫血和血小板明显改善;数周后,补体水平、尿蛋白逐步恢复;22 周时,患者肾功能完全恢复正常,皮肤硬化评分也明显下降,最终成功停药,随访情况良好。。




该病例带来的启示


  1. 免疫介导的血管损伤是 SRC 的核心,补体系统在 SRC 发生发展中可能起关键作用。

  2. 早期识别 TMA 特征,决定治疗成败,血小板下降、溶血、补体降低是重要线索。

  3. 当传统治疗效果不佳时,靶向补体治疗可能改变结局。


肾内科提醒

哪些硬皮病患者要特别警惕?



如出现以下情况,请务必尽快就医:

  • 血压突然升高;

  • 尿量减少或泡沫尿明显;

  • 明显乏力、头晕、面色苍白;

  • 近期激素剂量较大(已知风险因素);

  • 合并高危抗体:如 anti-fibrillarin、RNA Pol Ⅲ等












结语


硬皮病肾危象是一场与时间赛跑的疾病,早一步识别,可能就是生的分水岭。随着免疫学研究的进展,肾脏疾病的诊疗正迈向精准化。精准识别 + 快速干预 + 多学科合作,真的可以把“危象”变成“转机”,帮助患者跨越最凶险的关口。


来源:复旦大学附属中山医院肾内科
200 评论

查看更多