查看更多
密码过期或已经不安全,请修改密码
修改密码
壹生身份认证协议书
同意
拒绝
同意
拒绝
同意
不同意并跳过
55岁中年男性,2022年初无诱因出现阵发性咳嗽,咳白色黏痰,无寒颤、发热、胸闷气喘等症状。1月外院胸部CT提示肺部炎症,经抗生素治疗效果不佳。2月6日出现一过性发热,11日当地医院胸部CT显示左肺门占位,考虑肿瘤可能。16日为进一步治疗患者至我院就诊。
30余年吸烟史,每日1包,近半年戒烟。
查体:除精神欠佳、左肺听诊呼吸音较粗外,无其他特殊阳性体征。
实验室检查:


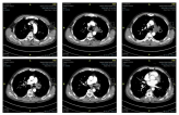
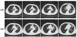
胸部CT:显示左肺上叶病变伴空洞,左肺门肿大。
胸部增强CT:提示左肺门淋巴结肿大。

气管镜:发现左肺上叶支气管开口处狭窄、黏膜肥厚,有新生物生成,遂进行活检。
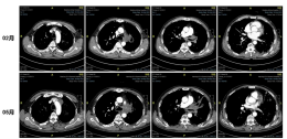
PET/CT:考虑左肺癌伴转移、左肺炎症、结肠癌可能及肝转移瘤可能。
肠镜:发现升结肠近回盲部有息肉及新生物。
气管镜病理:软骨周围存在异型细胞,结合免疫组化考虑鳞状细胞癌,软骨旁可见坏死性渗出物伴有较多真菌菌丝,倾向于曲霉菌。
肠镜病理:升结肠新生物为肠道腺癌。
1、肺恶性肿瘤合并曲霉感染;2、结肠恶性肿瘤
由于左肺病灶侵犯肺动脉,肺内及肝内有转移瘤,肺癌暂无手术指征。同时,因合并曲霉感染及肠癌,全程抗肿瘤化疗存在困难。因此抗曲霉治疗需先行:伏立康唑静脉治疗后序贯口服;全身抗肿瘤方案需温和且兼顾:曲霉感染控制后选择行紫杉醇+奥沙利铂+替吉奥抗肿瘤治疗。
治疗过程中,定期监测伏立康唑血药浓度,确保在正常范围,期间基因检测未见突变。



患者自行停用伏立康唑口服治疗后,曲霉感染复发,左肺肺不张病灶逐渐增大。再次评估后,继续给予伏立康唑静滴抗曲霉治疗,并停用免疫治疗,改为单药化疗联合抗血管生成治疗,使用安罗替尼。





8月患者出现咳嗽、咳痰不利伴反复发热,考虑曲霉感染加重,遂加强抗曲霉治疗,采用伏立康唑联合卡泊芬净,气管镜下对病灶进行两性霉素B局部灌注治疗,同时加用哌拉西林他唑巴坦抗细菌治疗,暂停抗肿瘤治疗。



治疗后患者体温及炎症指标下降,但影像改善不明显,行肺穿刺活检提示慢性炎症细胞浸润,继续维持抗曲霉治疗。9月患者出现少量咯血,经氨甲环酸和蛇毒血凝酶处理后症状缓解。





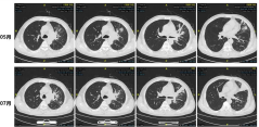
综合患者情况,建议继续口服伏立康唑抗感染,同时使用替吉奥抗肿瘤治疗。治疗后左肺病灶有所缩小,但左肺上叶气道狭窄明显。对于下一步抗肿瘤治疗方式,考虑到曲霉与肿瘤的平衡关系,以及患者肺部病灶局限在左肺门和左上肺,优先尝试局部放疗,并继续口服伏立康唑。放疗后病灶明显退缩,患者整体治疗较为成功,目前仍在持续随访中。

查看更多
专家点评
本病例为一例肺部空洞性病变,经病理证实同时存在肺癌与曲霉菌感染。诊断上,除组织病理中观察到真菌菌丝及特殊染色阳性支持曲霉感染外,我们还通过血清GM试验及痰培养等临床检测进一步确认。鉴于影像学上肺癌与曲霉菌感染并存,需仔细鉴别是侵袭性肺曲霉病还是曲霉球。
治疗面临多重挑战。首先,患者合并多原发肿瘤,需权衡治疗次序。基于恶性程度与转移情况,我们将肺癌作为首要积极治疗的肿瘤,同时,化疗方案需兼顾两种肿瘤的覆盖。更棘手的难点在于,患者在初诊时即已存在活动性曲霉感染,若先行抗肿瘤化疗,可能导致骨髓抑制与免疫力下降,诱发曲霉扩散。因此,我们决定优先启动抗曲霉治疗。在后续治疗中,患者曾因自行停药及肿瘤进展导致痰液引流不畅,出现曲霉感染波动,这提示此类患者可能需要贯穿全程的抗真菌治疗以维持稳定。
当曲霉感染得到初步控制而肿瘤再度进展时,我们采用了伏立康唑抗真菌与抗肿瘤治疗联合的策略。其中,需特别注意抗肿瘤方案中糖皮质激素的使用可能对免疫系统产生较大抑制,因此选择了对免疫损伤较小的方案。通过局部介入治疗联合全身抗真菌及抗肿瘤的综合管理,患者病情最终达到相对稳定状态。