查看更多
密码过期或已经不安全,请修改密码
修改密码
壹生身份认证协议书
同意
拒绝
同意
拒绝
同意
不同意并跳过
作者:北京协和医院内分泌科 苏婉
1.
什么是肾上腺皮质功能减退?

图1:功能减退的肾上腺
顾名思义,当肾上腺皮质不能产生足够的激素就会发生肾上腺皮质功能减退症(图1)。那么肾上腺皮质在哪里呢?肾上腺是位于肾脏上方的一个内分泌腺体。这个三角形的腺体外层是皮质,内层是髓质。肾上腺皮质可以分泌好几种类固醇激素如糖皮质激素、盐皮质激素、性激素。
肾上腺受到”上级腺体”下丘脑、垂体分泌的促肾上腺皮质激素释放激素(CRH)、促肾上腺皮质激素(ACTH)调节。因此肾上腺皮质功能减退可分为两种情形,第一种是肾上腺本身的问题,即使上级腺体疯狂输出指令,肾上腺也没法足量合成所需激素,即原发性肾上腺皮质功能减退,患病率约为82-144/百万。第二种情况是下丘脑、垂体没有下达足够的CRH、ACTH指令使肾上腺合成激素,即继发性肾上腺皮质功能减退,患病率约为150-280/百万。
2.
肾上腺皮质功能减退症的病因有哪些?
分为原发性和继发性两大类
原发性肾上腺皮质功能减退的病因包括:
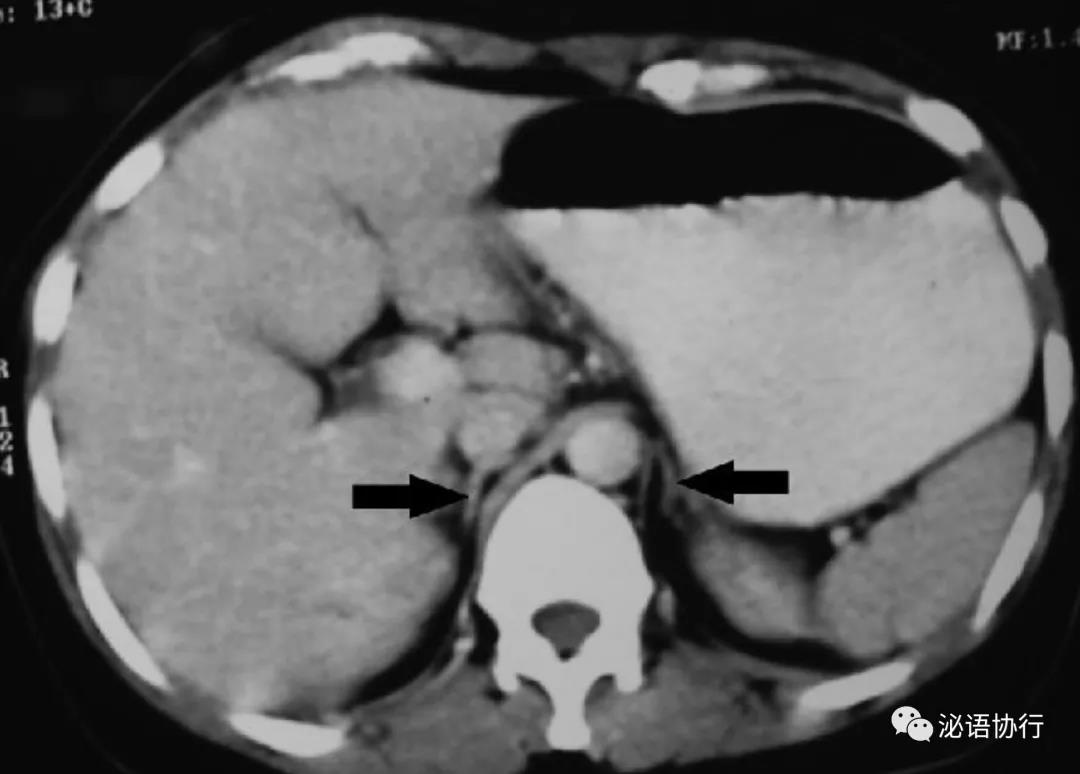
(1)肾上腺本身的损害:常见于自身免疫性疾病、结核、AIDS等。自身免疫性疾病是指机体产生了攻击自身肾上腺皮质的抗体会导致肾上腺萎缩(图2),发达国家中80%的原发性肾上腺功能减退症是此种病因,而在中国更需要关注结核导致肾上腺皮质功能减退。其他少见病因有肾上腺脑白质营养不良、转移性肿瘤。
(2)激素合成障碍,主要病因是先天性肾上腺皮质增生症,其次是DAX1基因缺陷等。
继发性肾上腺功能减退的发病机制来源于CRH、ACTH分泌不足,常见的病因为垂体瘤、垂体炎、垂体感染等导致垂体的损伤。此外,对于长期大剂量使用糖皮质激素的患者,由于外源性糖皮质激素可以负反馈抑制下丘脑垂体分泌CRH、ACTH,突然停药后会产生急性肾上腺皮质功能不全的表现。

图2:自身免疫性肾上腺炎CT图像提示肾上腺萎缩
3.
肾上腺皮质功能减退有哪些临床表现?
肾上腺皮质功能减退可表现为乏力、低血压、腹痛、恶心、呕吐、抑郁、女性月经紊乱、性欲减退。体征上,原发性肾上腺皮质功能减退的特征性表现是皮肤黏膜色素沉着(图3)。在应激状态,例如感染、损伤、手术时,对肾上腺皮质激素需求量增加,甚至会表现为致命的疾病状态——肾上腺危象,患者可出现严重呕吐、腹泻、低血压、晕厥、低血糖、低血钠、高血钾。

图3:原发性肾上腺皮质功能减退患者的皮肤黏膜色素沉着
4.
肾上腺皮质功能减退如何治疗呢?
主要的治疗手段是补充生理替代剂量的肾上腺类固醇激素,包括糖皮质激素、盐皮质激素替代治疗。此外,所有患者都应做好应对肾上腺危象的准备,比如在碰到应激时主动将糖皮质剂量加量2~5倍,以防止肾上腺危象所造成的严重后果。
看了这篇介绍,您应该对肾上腺皮质功能减退的前因后果有了初步了解。即使患有肾上腺皮质功能减退也不要慌张,及时就医,明确病因,规范治疗,学会避免以及早期识别肾上腺危象,就能最大程度减轻疾病损害。

来源:泌语协行
查看更多