壹生大学

壹生身份认证协议书

本项目是由壹生提供的专业性学术分享,仅面向医疗卫生专业人士。我们将收集您是否是医疗卫生专业人士的信息,仅用于资格认证,不会用于其他用途。壹生作为平台及平台数据的运营者和负责方,负责平台和本专区及用户相关信息搜集和使用的合规和保护。
本协议书仅为了向您说明个人相关信息处理目的,向您单独征求的同意,您已签署的壹生平台《壹生用户服务协议》和《壹生隐私政策》,详见链接:
壹生用户服务协议:
https://apps.medtrib.cn/html/serviceAgreement.html
壹生隐私政策:
https://apps.medtrib.cn/html/p.html
如果您是医疗卫生专业人士,且点击了“同意”,表明您作为壹生的注册用户已授权壹生平台收集您是否是医疗卫生专业人士的信息,可以使用本项服务。
如果您不是医疗卫生专业人士或不同意本说明,请勿点击“同意”,因为本项服务仅面向医疗卫生人士,以及专业性、合规性要求等因素,您将无法使用本项服务。

同意

拒绝

同意

拒绝

知情同意书

同意

不同意并跳过

工作人员正在审核中,
请您耐心等待
审核未通过
重新提交
完善信息
{{ item.question }}
确定
收集问题
{{ item.question }}
确定
您已通过HCP身份认证和信息审核
(
5
s)

病例报告|TBC1域家族成员8B基因突变致局灶节段性肾小球硬化

2025-10-27作者:壹声资讯
原创

作者:余乐 王佑良 范文静 吴晓梅 程震 涂远茂


DOI:10.3969/j.issn.1006-298X.2025.03.018

[基金项目]江苏省卫健委医学科研面上项目(H2023017)

[作者单位] 东部战区总医院 国家肾脏疾病临床医学研究中心(南京,210016)

[通信作者]涂远茂(E-mail:oldcatec2@163.com)


摘 要 青少年起病的激素抵抗型肾病综合征需警惕基因突变的可能,TBC1域家族成员8B(TBC1D8B)基因突变可影响足细胞功能。本文报道2例青年男性患者,1例表现为肾病综合征伴急性肾损伤(AKI),另1例为轻度尿检异常伴AKI及发育迟缓和癫痫,肾穿刺病理均为局灶节段性肾小球硬化合并肾小管间质损伤,激素治疗不敏感。全外显子测序分别发现2例患者TBC1D8B基因c.659T>A(p.I220N)和c.1028T>C(p.L343P)半合子突变,两处均为新突变位点。


关键词 TBC1域家族成员8B  基因突变  局灶节段性肾小球硬化


Focal segmental glomerulosclerosis caused by TBC1 domain family member 8B gene mutations

YULeWANGYouliangFANWenjingWUXiaomeiCHENGZhen,TUYuanmao

NationalClinicalResearchCenterforKidneyDiseasesJinlingHospitalNanjing210016,China

CorrespondingauthorTUYuanmao(E-mail:oldcatec2@163.com)


ABSTRACT In adolescents with steroid-resistant nephrotic syndrome, the possibility of genetic mutations should be suspected. Mutations in the gene encoding TBC1 domain family member 8B (TBC1D8B) can affect podocyte function. We report two young male patients: one presented with nephrotic syndrome accompanied by acute kidney injury (AKI), while the other exhibited mild urinary abnormalities, AKI, developmental delay, and epilepsy. Renal biopsy of both patients revealed focal segmental glomerulosclerosis combined with tubulointerstitial injury, both of whom were resistant to steroid therapy. Whole-exome sequencing identified hemizygous mutations in the TBC1D8B gene, specifically c.659T>A (p.I220N) and c.1028T>C (p.L343P); both mutations were novel.


Keywords  TBC1 domain family member 8B   gene mutation   focal segmental glomerulosclerosis



病例摘要


01

病例1


27岁男性患者,2020-8-13因头痛、乏力服用“氨咖黄敏胶囊”2粒,次日出现颜面及双下肢水肿,当地医院查尿蛋白4+,血清白蛋白(Alb)23.9 g/L,血清肌酐(SCr)80 μmol/L。8月18日至国家肾脏疾病临床医学研究中心查尿蛋白19.23 g/d,尿量 600 mL/d,Alb 23.6 g/L,SCr 152.9 μmol/L。后患者尿量明显减少,水肿加重,出现胸闷、呕吐,急诊予甲泼尼龙40 mg/d、白蛋白、托拉塞米、低分子肝素等治疗后收住入院。既往史及家族史无特殊。


患者四肢中度水肿,尿常规蛋白4+,红细胞计数111.4/μL(非均一),尿蛋白定量28.22 g/d;尿N-乙酰-β-D-氨基葡萄糖苷酶(NAG酶)105.8 U/(g·Cr),RB蛋白36.5 mg/L;尿C3 120.34 mg/L,尿α2-M 13.8 mg/L。


血常规未见异常;血浆D-二聚体 0.1 mg/L,Alb 16.1 g/L,尿素氮(BUN)33.2 mmol/L,SCr 438.4 μmol/L,尿酸(UA)739 μmol/L,估算肾小球滤过率(eGFR)16 mL/(min·1.73m2),钾4.75 mmol/L,钠130 mmol/L,氯97 mmol/L,钙1.72 mmol/L,磷2.11 mmol/L,总胆固醇20.68 mmol/L,三酰甘油5.25 mmol/L。免疫学检查未见明显异常。


超声检查:左肾110 mm×42 mm×55 mm,右肾115 mm×52 mm×57 mm,心脏、双肾静脉及双下肢血管未见明显异常。



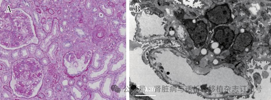
肾活检光镜下31个肾小球中12个节段硬化(图1A),肾小管间质中度急性病变,多灶性肾小管上皮细胞扁平、刷状缘脱落,管腔内见较多蛋白管型及多处嗜碱性钙盐沉积。电镜下观察的肾小球基膜厚300~580 nm,系膜区、基膜内皮下、上皮侧均未见电子致密物分布,肾小球足细胞足突广泛融合(>90%),胞质少量微绒毛化(图1B),近端肾小管上皮细胞刷状缘脱落。免疫荧光染色均阴性。



经患者及家属同意行基因测序检查,抽取患者及母亲外周血行全外显子测序(WES),结果显示,TBC1域家族成员8B(TBC1D8B)基因c.659T>A (p.I220N)半合子突变,Sanger法验证其母亲该位点为杂合变异(图2,表1),根据美国医学遗传学和基因组学学会(ACMG)指南,该变异初步判定为临床意义未明。



最终诊断:(1)局灶节段肾小球硬化(FSGS)(TBC1D8B基因突变所致);(2)急性肾损伤3期。因其利尿剂抵抗、体重增加及SCr进行性升高、严重氮质血症,9月11日开始行血液透析治疗。经肾活检诊断明确后予甲泼尼龙加量至80 mg/d静脉滴注,蛋白尿无减少,肾功能未恢复。10月15日起联合小剂量利妥昔单抗(RTX)0.1 g/周×4次静脉滴注治疗,同时泼尼松减量至30 mg/d,肾功能逐渐改善,11月初停止透析。2020-12-01加用他克莫司,激素逐渐减量,RTX 每3~6个月追加1次,维持B细胞持续清零(2021-03-05、2021-06-09、2021-10-08、2022-01-20、2022-04-20、2022-10-15、2023-04-28分别予RTX 0.1 g静脉滴注),尿蛋白逐渐减少直至完全缓解。


表1 2例患者TBC1D8B基因突变位点致病性预测

图片

MAF:最小等位基因频率,数据来自1000 genomes、ESP6500、EXAC和EXAC-EAS;GRAM结构域:葡萄糖转移酶、Rab类GTP酶激活剂和肌微管素结构域


图片

图1 A:肾小球节段袢皱缩扭曲,与囊壁粘连,周围足细胞增生、肿胀(HE,×400);B:肾小球足细胞足突广泛融合(>90%),胞质少量微绒毛化(EM)


图片

图2 病例1基因检测结果


02

病例2


17岁男性患者,2021-04-20患者发现尿泡沫增多,伴鼻塞,自服“阿莫西林、氨咖黄敏胶囊”,于当地医院查尿蛋白2+,尿隐血1+。



4月29日至国家肾脏疾病临床医学研究中心门诊查尿蛋白定量0.99 g/d,尿红细胞计数27.7/μL(混合型),Alb 38.2 g/L,SCr 113.2 μmol/L,予厄贝沙坦治疗,为进一步诊治入院。



患者自幼发育迟缓,身高159 cm,体重48.7 kg;胸椎后凸畸形,无腋毛,阴毛稀疏,外生殖器发育差。1岁起反复发作“癫痫”,8岁前发作频繁,口服“丙戊酸钠”抗癫痫,近2年未再发作。父母均体健,家族中无同样疾病患者。



尿常规蛋白+,蛋白定量0.58 g/d,红细胞计数2.2/μL;尿NAG酶14.9 U/(g·Cr),RB蛋白0.1 mg/L;尿C3 2 mg/L,尿α2-M 2 mg/L。血常规及凝血功能未见明显异常。Alb 37.3 g/L,球蛋白26.5 g/L,BUN 10.5 mmol/L,SCr 131.7 μmol/L,UA 511 μmol/L,eGFR 68 mL/(min·1.73m2),钾4.65 mmol/L,钠139.4 mmol/L,氯107 mmol/L,钙2.3 mmol/L,磷1.6 mmol/L,总胆固醇5.52 mmol/L,三酰甘油4.23 mmol/L;甲状旁腺激素116.9 pg/mL,总25羟维生素D 10.46 pg/mL。免疫学检查未见明显异常。



肾脏B超示左肾100 mm×48 mm×50 mm,右肾100 mm×45 mm×50 mm,皮质厚度不清,皮质回声增强。胸部CT示胸廓多发组成骨骨质密度弥漫性异常,考虑肾性骨病可能。



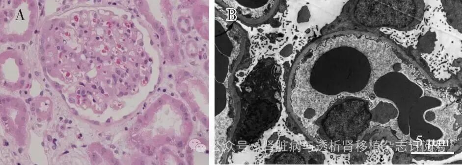
肾活检光镜下见30个肾小球中12个球性废弃,个别肾小球发育欠佳,2个节段硬化,其中1个节段硬化周围足细胞增生形成假新月体(图3A)。多处系膜溶解,肾小管间质轻度慢性病变伴有中度急性病变。冰冻切片荧光染色IgA+、IgM+,呈颗粒状节段分布于系膜区及血管袢。Ⅳ型胶原α3、α5染色阴性。电镜观察的肾小球多处基膜内皮下区域增宽疏松,部分增宽的内皮下区域见细胞成分插入(图3B),内皮下和上皮侧未见电子致密物沉积,节段系膜溶解,肾小球足细胞足突融合,间质亦见小灶性水肿。



经患者及家属同意行基因测序检查,抽取患者及父母外周血行WES,结果显示TBC1D8B基因c.1028T>C(p.L343P)半合子突变,Sanger法验证其母亲该位点为杂合变异,父亲无变异(图4,表1),根据ACMG指南,该变异初步判定为临床意义未明。



最终诊断:(1)FSGS样病变(TBC1D8B基因突变所致);(2)慢性肾功能不全急性加重;(3)癫痫;(4)发育迟缓。予小剂量激素及血管紧张素Ⅱ受体拮抗剂治疗无效,持续非肾病范围蛋白尿、少量镜下血尿,SCr逐渐升高,随访至2023年3月SCr 281.11 μmol/L。


图片

图3 A:肾小球系膜区轻~中度增宽,多处系膜溶解(PAS,×200);B:肾小球基膜内皮下区域增宽疏松,部分增宽的内皮下区域见细胞成分插入(EM)


图片

图4 病例2的基因检测结果及家系Sanger验证结果


讨 论


虽然本文中2例患者的TBC1D8B基因变异根据《ACMG指南》初步判定为临床意义未明,但是2个突变位点编码的氨基酸均较为保守,变异在正常人群数据库中为极罕见变异(新变异),经多种软件预测均为有害变异(表1),且家系验证符合X连锁隐性遗传特点,故而认为2例患者的TBC1D8B基因变异与临床表型高度相关,仍需进行基因变异功能研究以明确其致病意义。


25岁前起病的激素抵抗型肾病综合征(SRNS)患者约30%由单基因突变引起,且发病年龄越小致病基因突变的检出率越高[1]。2019年Dorval等[2]首次在2个X连锁早发的SRNS伴FSGS的家系中发现了TBC1D8B基因的错义突变(c.738G>C和c.872T>C),2例患者对免疫抑制治疗均不敏感并快速进展至终末期肾病(ESKD)。c.738G>C变异家系中受影响的2例女性均为该变异的杂合携带者,表现为非肾病性蛋白尿,受影响的3例男孩表现为先天性或早发性肾病综合征(NS);先证者及其姐姐肾活检为FSGS样病变,先证者在2.8岁时进展至ESKD。c.872T>C变异家系中的患者也是1例男孩,2岁时出现早发性SRNS,肾活检确诊FSGS,9岁时进展至ESKD,其母为该变异的杂合携带者,无临床症状。


TBC1D8B位于Xq22.3,是TBC结构域蛋白家族的成员,其3个功能结构域包括一个Tre-2-Bub2-Cdc16(TBC)结构域和2个葡萄糖转移酶、Rab类GTP酶激活剂和肌微管素(GRAM)结构域,与其他TBC蛋白相似,TBC1D8B通过与特定的Rab蛋白结合而发挥Rab-GAP的功能[3]。通过内吞的囊泡运输对肾小球滤过膜具有重要作用[4],TBC1D8B作为特异性的Rab11b GTPase激活蛋白[2,5],其突变影响Rab11依赖的囊泡运输,导致足细胞和成纤维细胞的内吞和囊泡再循环减少[2]TBC1D8B的2个GRAM结构域可与脂筏结合,而脂筏是足细胞裂孔隙隔膜(SD)信号传导的关键元件[6]。Dorval等[2]发现的2个突变即定位于GRAM结构域中,免疫荧光证实了TBC1D8B存在于人类肾小球足细胞中,c.872T>C突变的人足细胞出现细胞骨架重排和迁移功能缺陷,TBC1D8B基因敲除的斑马鱼表现出心包水肿、肾小球皱缩及足突融合。


随后Kampf等[7]在来自5个不同NS家系的5例患者中发现了TBC1D8B基因的半合子突变,均无肾外表现,发病年龄4~18岁,其中4例患者为SRNS;3例肾脏病理为FSGS,1例为系膜增生性肾小球肾炎,1例未行肾活检。免疫共沉淀证实TBC1D8B与足细胞SD的nephrin蛋白相互作用并调节其运输。Milosavljevic等[8]通过对果蝇进行基因编辑,再次证实了TBC1D8B对nephrin运输至关重要。


近期Fang等[9]首次在1例19岁起病的激素依赖型NS男性患者中检测到位于TBC1D8B基因TBC区域的致病性突变(c.1462_1466del),该患者与本文的病例1同样接受了低剂量的泼尼松和RTX治疗,NS部分缓解。而Hou等[10]在1例激素依赖型NS的6月龄男婴中发现了TBC1D8B基因的新变异(c.2717A>G),该患者激素治疗敏感。


与既往报道相比,本文中2例患者起病年龄较晚,且病例2合并神经系统疾病及发育迟缓,肾活检FSGS表现不典型,WES未见合并其他基因突变。TBC1D8B突变的患者出现神经系统表现的机制不详,在既往报道的患者中均未见肾外表现,但在c.738G>C变异的家系中男性的母亲都在妊娠时伴先兆子痫[2]。Kampf等[7]报道中亦有肾脏病理为系膜增生性肾小球肾炎的患者,且既往报道中患者肾功能进展及发病年龄的异质性较大,故TBC1D8B基因变异的患者并非全部表现为典型FSGS样病变。


与肿瘤的发生相类似,近年来肾脏病领域也有“二次打击”的观点,如常染色体显性多囊肾病的发生发展[11-12]TBC1D8B基因突变患者表型的异质性也促使我们思考:是否在TBC1D8B基因突变患者中也存在着类似的“二次打击”发病机制?基因突变加上环境、感染、药物等二次打击致病,导致患者的起病时间及病情轻重不一。本文2例患者都是在出现感冒症状服用非甾体抗炎药(NSAID)后发现尿检及肾功能异常,炎症及NSAID可视为“二次打击”因素。多数早发性患者病情较重且呈激素抵抗,但病例1及 Fang等[9]报道的成年起病的患者在经过激素及RTX治疗后病情改善。Milosavljevic等[8]在363例FSGS患者中发现4种新的TBC1D8B突变,并在果蝇中验证了其中2种突变。c.2448G>A突变患者于9岁时发现蛋白尿,随访至12岁未进展至ESKD;c.115G>A突变患者59岁发现尿蛋白并于同年进展至ESKD,因此与TBC1D8B某些变异相关的FSGS可能在更晚的年龄出现。这可能也是对“二次打击”观点的又一佐证,可作为后续探索基因突变相关FSGS患者治疗的新思路。


小结:本文报道2例青年男性患者,临床表现为上呼道感染及服用NSAID后出现肾病或非肾病范围蛋白尿伴肾功能不全,肾活检病理为FSGS合并肾小管间质损伤,激素治疗不敏感,WES确认TBC1D8B基因突变。对于SRNS患者,如起病年龄较早或合并肾外表现,即使家族史无异常,也建议完善基因检测以进一步明确诊断。


参考文献




来源:《肾脏病与透析肾移植杂志》

200 评论

查看更多